Title

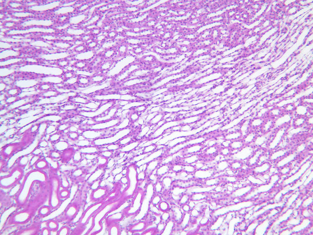
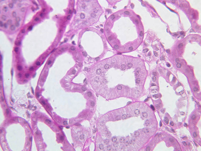
DistalConvolutedTubule (DCT): Description

DistalConvolutedTubule (DCT): Sections
B67, DCT, 10x (H&E) B67, DCT, 20x (H&E) B67, DCT, 40x Labeled (H&E) B68, DCT, 10x (PAS) B68, DCT, 20x (PAS) B68, DCT, 40x Labeled (PAS) B69, DCT, 10x (PAS) B69, DCT, 20x (PAS) B69, DCT, 40x Labeled (PAS) B71, DCT, 10x (H&E) B71, DCT, 20x (H&E) B71, DCT, 40x Labeled (H&E)
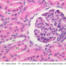
DistalConvolutedTubule (DCT): Identifications
Row Structure Abbreviation Optimal Stain Representative Section Note
1
Renal Corpuscle
RC

Begin Topic

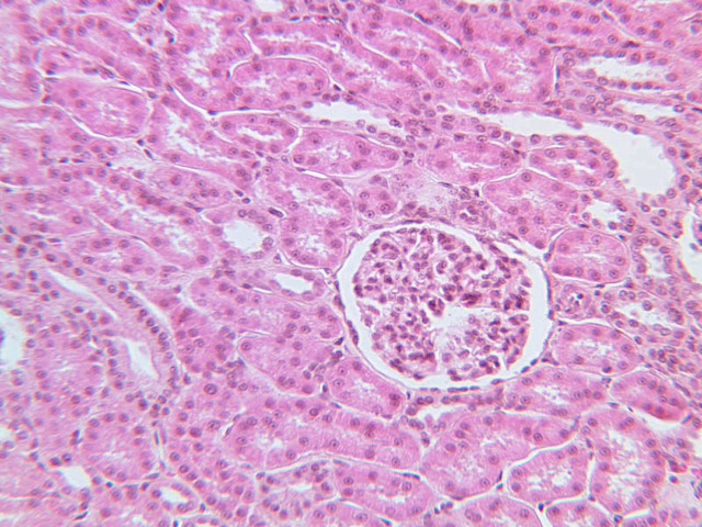
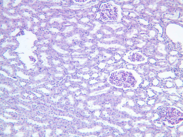
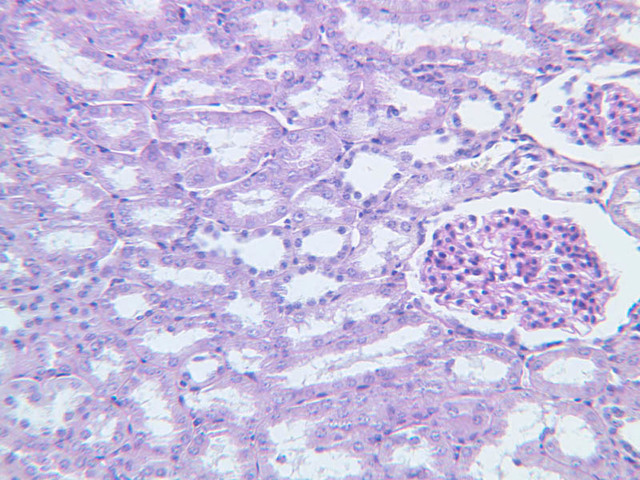
Juxtaglomerular Apparatus: Description

Juxtaglomerular Apparatus: Sections
B67, JG Apparatus, 2.5x (H&E) B67, JG Apparatus, 10x (H&E) B67, JG Apparatus, 20x (H&E) B67, JG Apparatus, 40x Labeled (H&E) B67, JG Apparatus, 40x Labeled2 (H&E) B71, JG Apparatus, 40xA (H&E) B71, JG Apparatus, 40xB (H&E) B71, JG Apparatus, 40xC (H&E)
Begin Topic
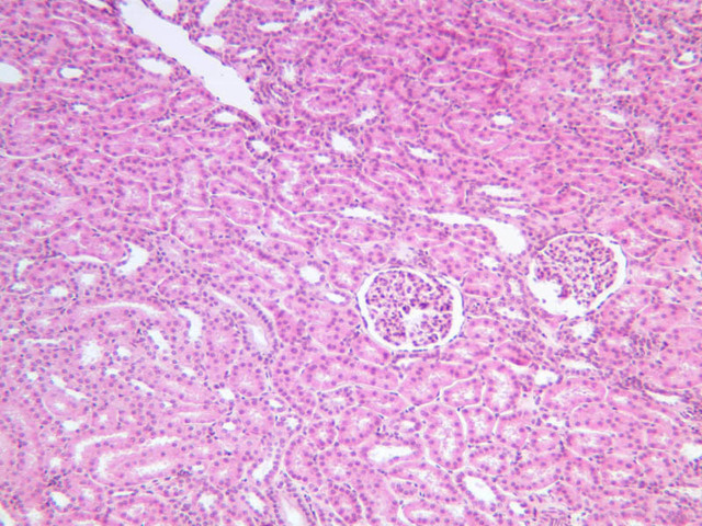
Juxtaglomerular Apparatus: Identifications
Row Structure Abbreviation Optimal Stain Representative Section Note
1
Renal Corpuscle
RC
2
Cortex
C
3
Medullary Ray
MR

Begin Topic

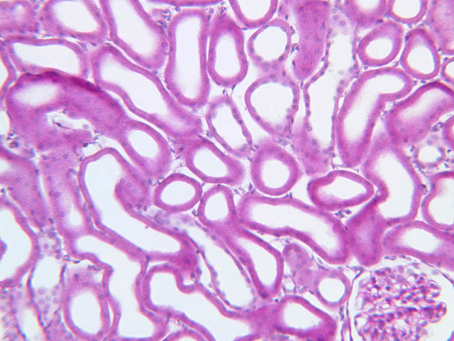
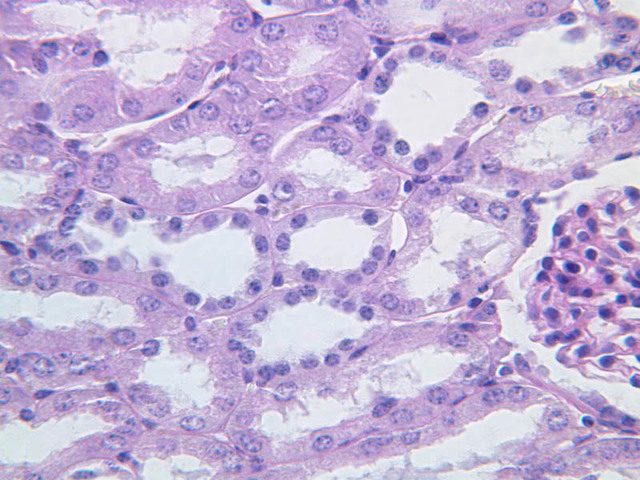
Collecting Tubules: Description

Collecting Tubules: Sections
B67, Collecting Tubule, 2.5x Labeled (H&E) B67, Collecting Tubule, 10x (H&E) B67, Collecting Tubule, 20x Labeled (H&E) B67, Collecting Tubule, 40x (H&E) B71, Collecting Tubule, 2.5x (H&E) B71, Collecting Tubule, 10x (H&E) B71, Collecting Tubule, 20x (H&E) B71, Collecting Tubule, 40x (H&E) B66, Basement Membrane, 20x (PAS) B66, Basement Membrane, 40x (PAS) B68, Basement Membrane, 40x (PAS) B69, Basement Membrane, 40x (PAS)
Begin Topic
Collecting Tubules: Identifications
Row Structure Abbreviation Optimal Stain Representative Section Note
1
Renal Corpuscle
RC
2
Cortex
C
3
Medullary Ray
MR

Begin Topic


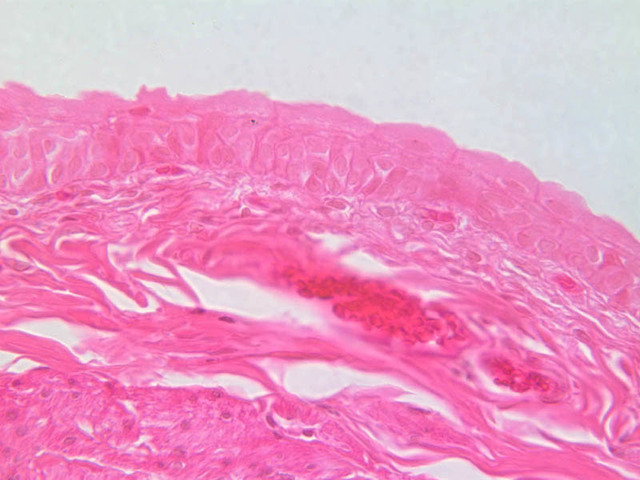
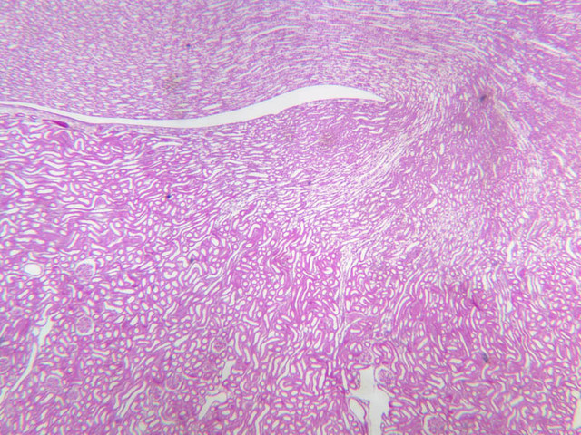
The Ureter

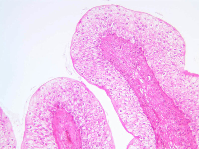
The Urinary Bladder

Urinary System Slides By Structure

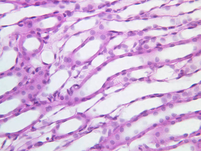
Proximal Convoluted Tubule

Thin Tubule (Thin Ascending Loop of Henle)

Distal Convoluted Tubule

Juxtaglomerular Apparatus

Collecting Tubules

Ureter

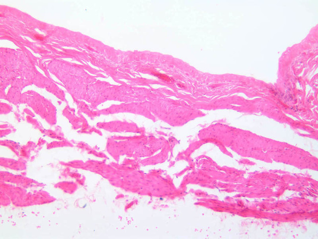
B72, Ureter, 2.5x (H&E) B72, Ureter, 10x (H&E) B72, Ureter, 20x (H&E) B72, Ureter, 40x Labeled (H&E)
Begin Topic

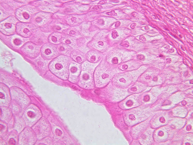
Urinary Bladder

B75, Bladder (contracted), 2.5x Labeled (H&E) B75, Bladder (contracted), 10x (H&E) B75, Bladder (contracted), 20x (H&E) B75, Bladder (contracted), 40x (H&E) B76, Bladder (distended), 2.5x (H&E) B76, Bladder (distended), 10x (H&E) B76, Bladder (distended), 20x (H&E) B76, Bladder (distended), 40x (H&E)

Comments

 
Begin Topic

-- LorenEvey - 25 May 2007
Topic revision: r1 - 17 Jul 2007, UnknownUser
 
This site is powered by FoswikiCopyright © by the contributing authors. All material on this collaboration platform is the property of the contributing authors.
Ideas, requests, problems regarding Medical Histology? Send feedback