Chapter Seventeen: The Urinary System

Introduction

The series of organs in this system function to produce, store, and eliminate soluble waste products from the body. The filtrates from the kidney are transported by the ureter to the bladder for storage, and are eliminated by way of the urethra. A major function of the system is to salvage water, sugars, and ions from the filtrate and return them to the blood. In addition, specialized structures within the kidney secrete the vasopressor renin, which increases systemic blood pressure.

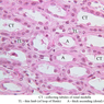
Kidney

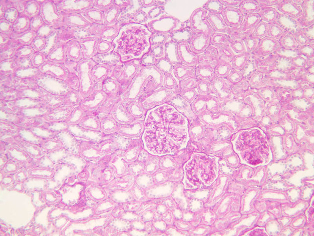
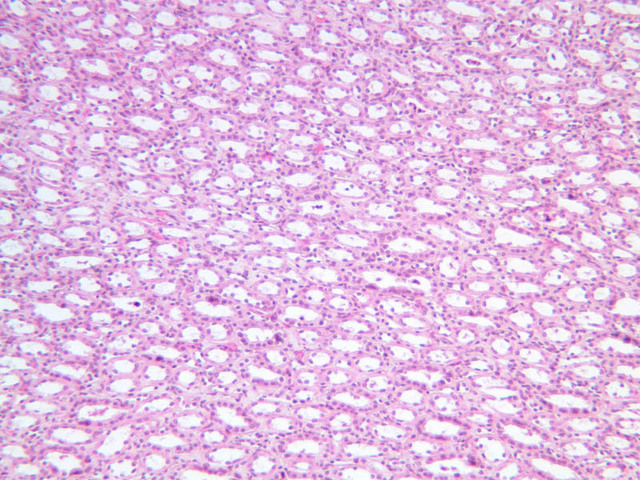
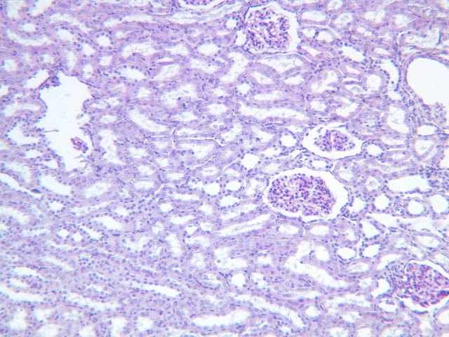
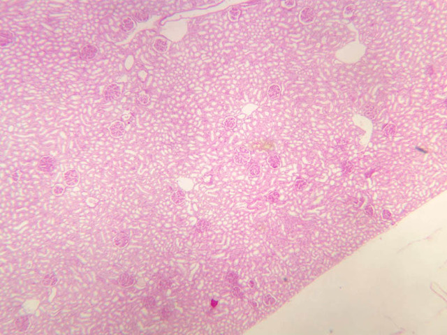
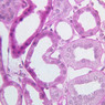
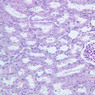
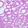
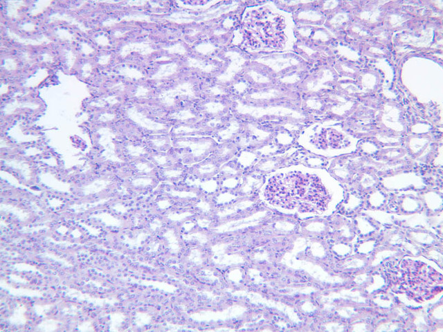
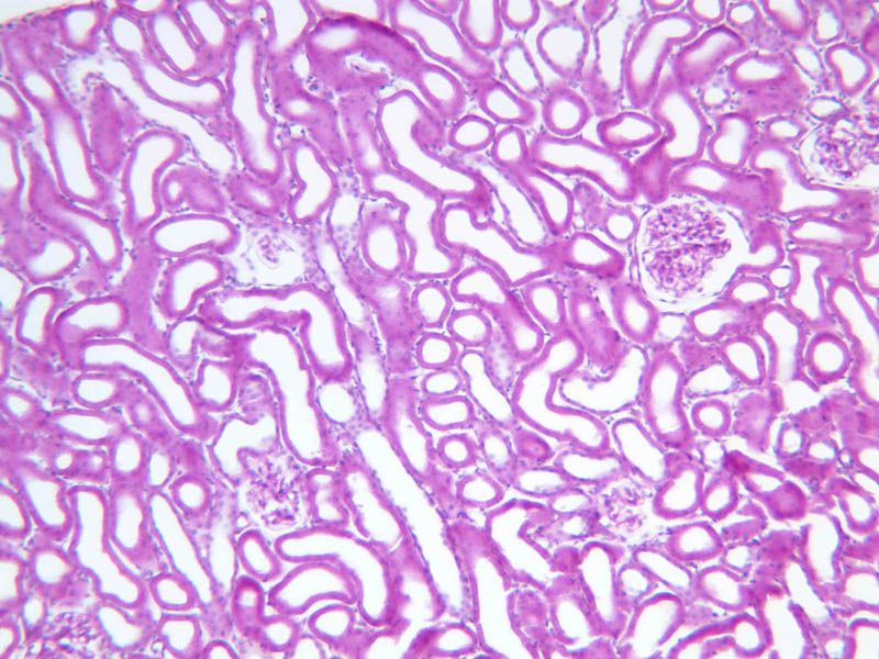
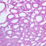
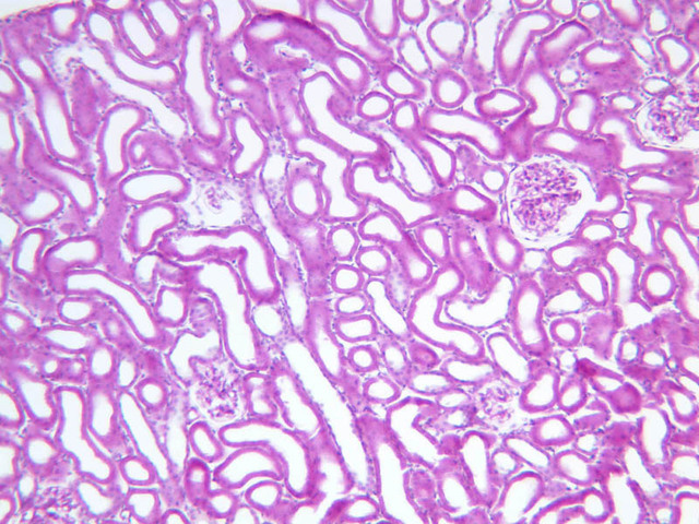
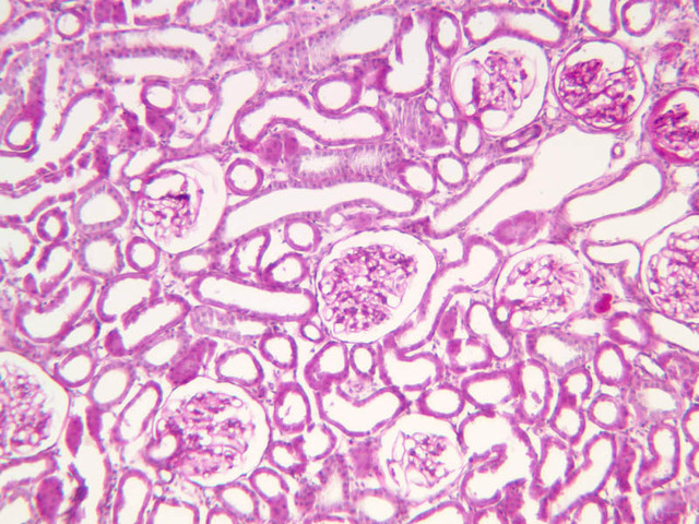
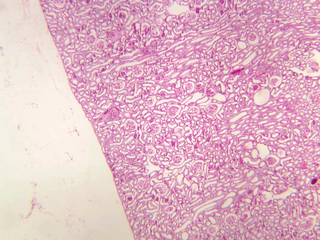
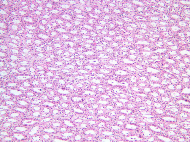
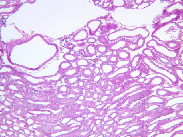
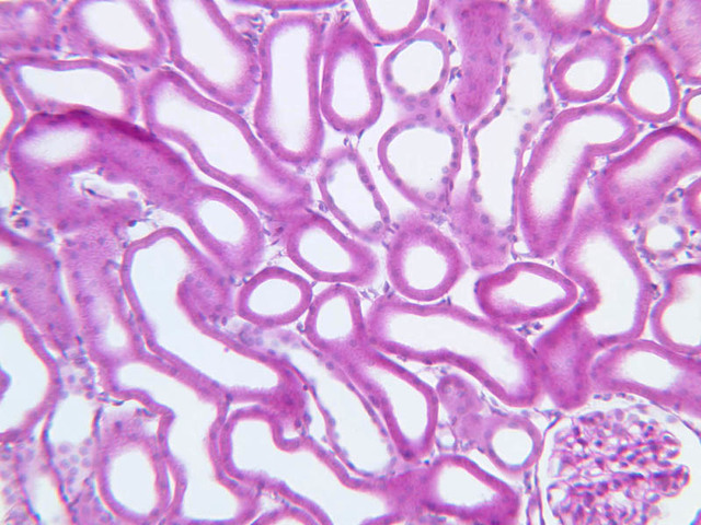
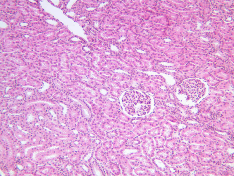
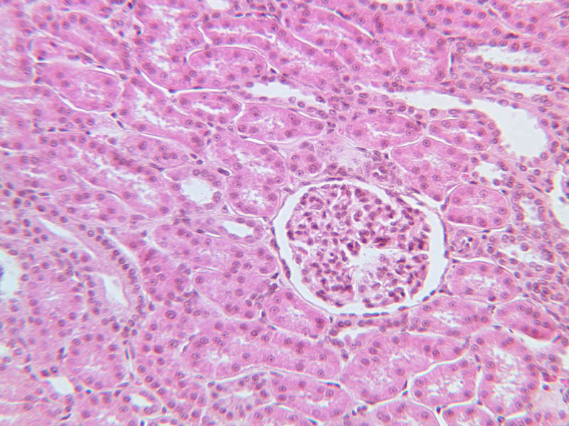
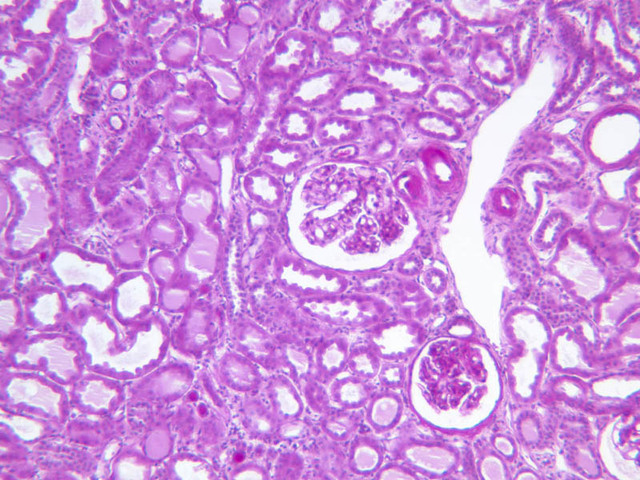
The kidney has a thin, tough connective tissue capsule beneath which lies the glandular tissue. The glandular tissue surrounds a large central cavity called the renal sinus. Adjacent to the renal sinus on the medial side of the organ is a notch called the hilus where the renal vessels and the ureter enter and leave the organ. The glandular portion of the kidney is composed of a number of conical pyramids, the renal lobes. Each renal lobe has its base on the capsule, and its apex (the renal papilla) projects into a minor calyx. The renal lobe consists of two regions, the cortex and the medulla. The cortex has a granular appearance due to the presence of renal corpuscles and renal tubules. These are components of the nephron, the functional unit of the kidney. The medulla has a striated appearance due to the presence of collecting tubules. Structures called medullary rays appear as vertical striations in the cortical substance. Renal columns are projections of cortical tissue between the bases of medullary pyramids.

Structure Image
Gross Anatomical Location of Kidney GraysGrossKidneyInAbdomen.gif
Cross Section of Kidney GraysGrossKidneXSection.gif
The Nephron (kidney microanatomy) GraysNephron.gif
Image Source: Grays Online

Back to Top of Page

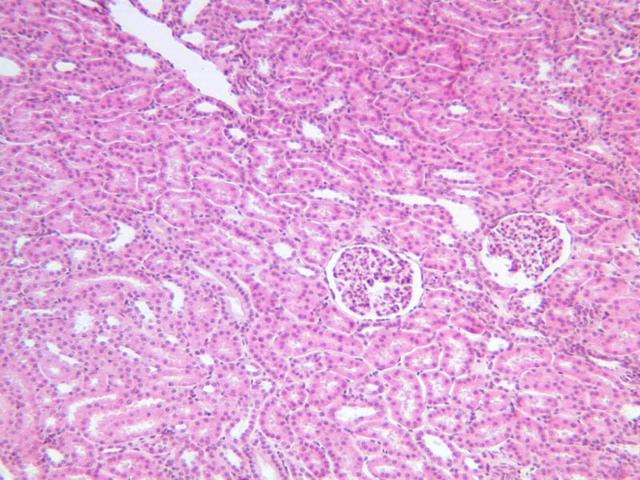
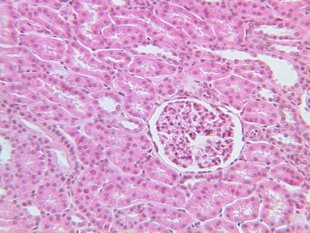
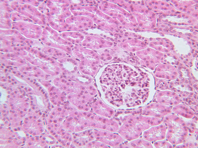
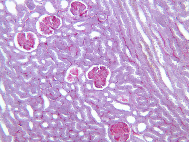
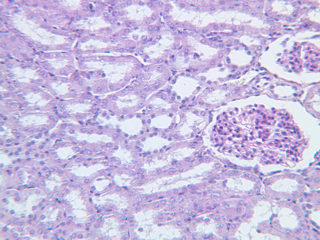
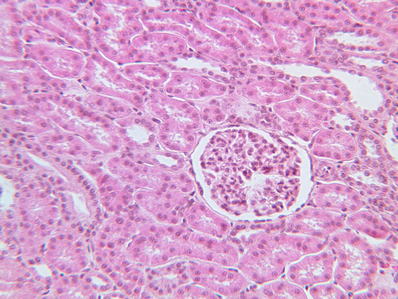
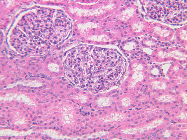
Renal Corpuscle

Study a section of the kidney, referring to R-P, Figs. 20.1, 20.3, 20.6 & Pl. 70. In the cortex, locate a renal (Malpighian) corpuscle (slide B-67, H&E [2.5x-labeled, 10x, 20x, 40x]; B-68, PAS [2.5x, 10x, 20x, [40x-labeled]; B-69, PAS [2.5x, 10x, 20x, 40x]; B-70, carmine [2.5x, 10x, 20x, 40x-labeled]; B-71, H&E [2.5x, 10x, 20x, 40x]).

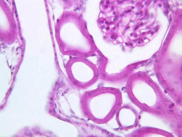
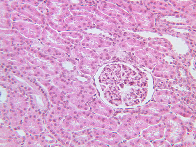
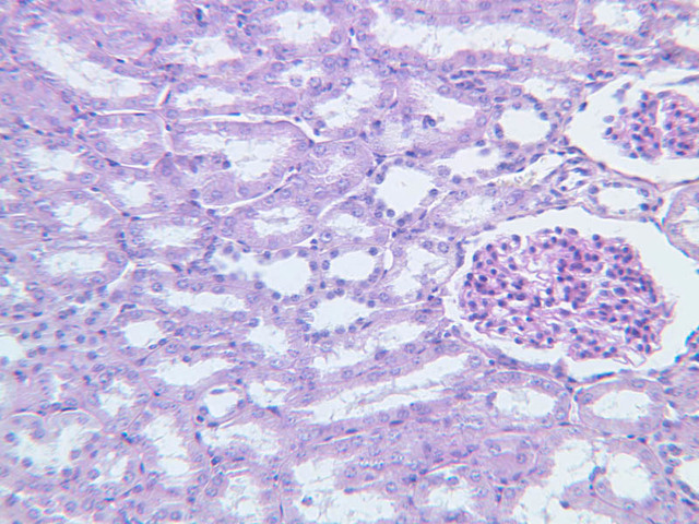
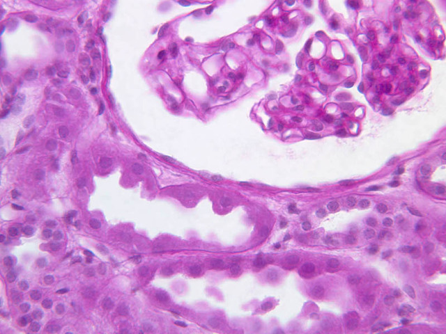
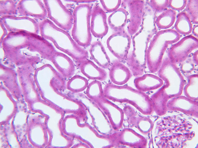
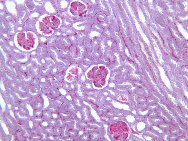
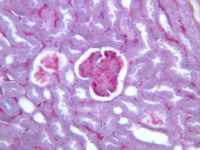
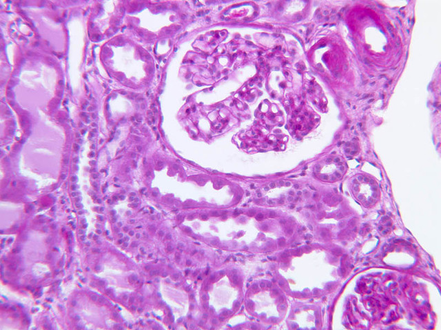
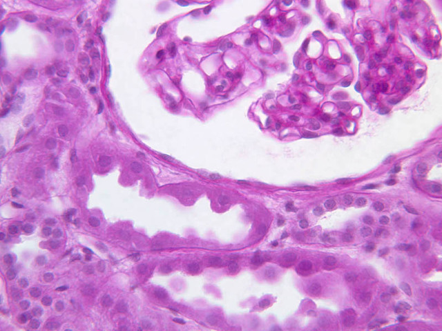
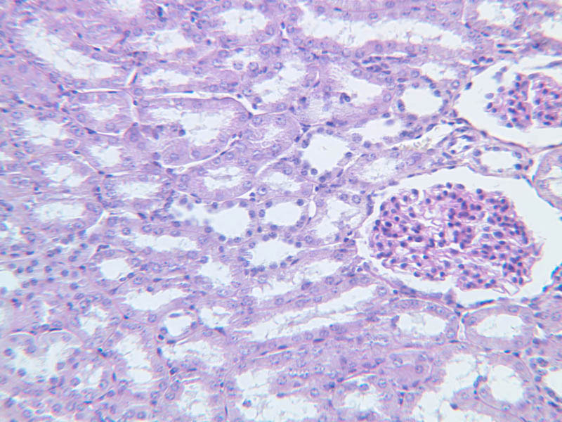
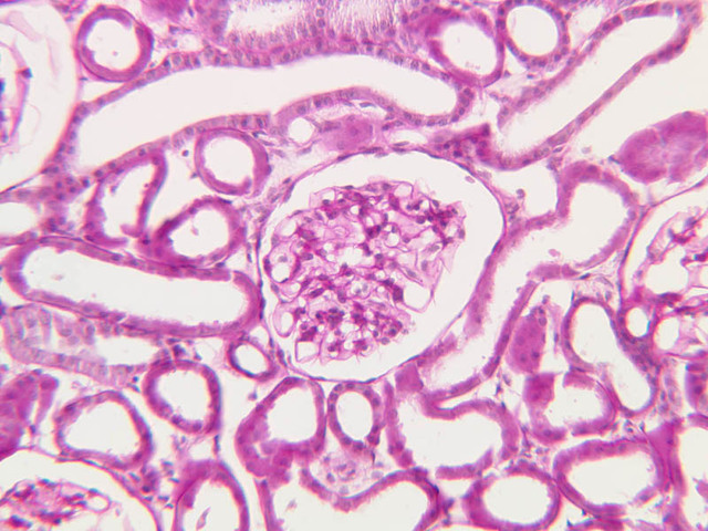
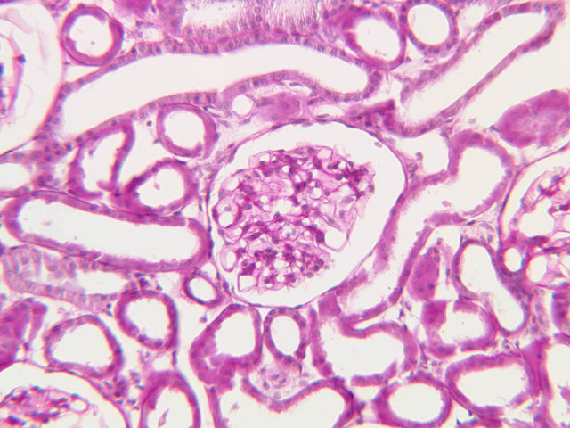
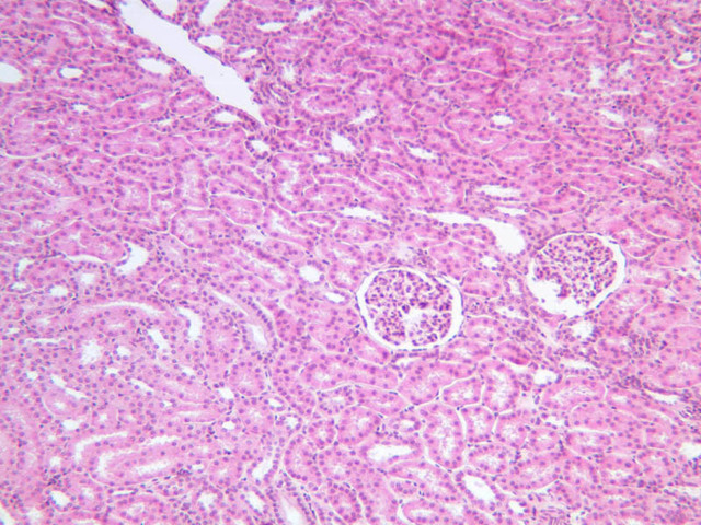
A renal corpuscle is the invaginated blind end of a renal tubule called Bowman's capsule. The capsule is composed of a simple squamous epithelium referred to as the parietal layer. Internally (the visceral layer) is a capillary tuft, the glomerulus, and specialized cells that are intimately associated with the capillary tuft. These cells are the podocytes. In H&E stained sections the podocytes are difficult to see but have pale cytoplasm, and lightly stained, slightly larger, oval nuclei. The podocytes extend finger-like processes (pedicels) that wrap around the capillaries. Between the pedicels are basal lamina-covered slits that act as a filter, allowing fluid from the blood to enter the corpuscle. In the electron microscope, podocytes are seen to consist of a central cell body and numerous foot processes applied to the basal lamina of the capillary. Note the pores between the foot processes and fenestrations in the capillary wall. The other major cell type within the corpuscle is the mesangial cell. These cells are difficult to distinguish from endothelial cells. Between the visceral and parietal layers of Bowman's capsule is Bowman's space, which fills up with the filtrate.

The corpuscle is a polarized structure with a vascular pole and a urinary pole. At the vascular pole, the vessel bringing blood to the glomerulus is called the afferent arteriole, and the vessel taking blood away is called the efferent arteriole. These vessels anchor the glomerulus to the wall of Bowman's capsule.

B67, Renal Corpuscle, 2.5x Labeled (H&E) B67, Renal Corpuscle, 10x (H&E) B67, Renal Corpuscle, 20x (H&E) B67, Renal Corpuscle, 40x (H&E) B68, Renal Corpuscle, 2.5x (PAS) B68, Renal Corpuscle, 10x (PAS) B68, Renal Corpuscle, 20x (PAS) B68, Renal Corpuscle, 40x Labeled (PAS) B69, Renal Corpuscle, 2.5x (PAS) B69, Renal Corpuscle, 10x (PAS) B69, Renal Corpuscle, 20x (PAS) B69, Renal Corpuscle, 40x (PAS) B70, Renal Corpuscle, 2.5x (Carmine) B70, Renal Corpuscle, 10x (Carmine) B70, Renal Corpuscle, 20x (Carmine) B70, Renal Corpuscle, 40x Labeled (Carmine) B71, Renal Corpuscle, 2.5x (H&E) B71, Renal Corpuscle, 10x (H&E) B71, Renal Corpuscle, 20x (H&E) B71, Renal Corpuscle, 40x (H&E)

Renal Corpuscle Identifications

Row Structure Abbreviation Optimal Stain Representative Section Note
1 Renal Corpuscle RC H&E b67 renal corpuscle 2x he labeled.jpgB67, Kidney, 2.5x  
2 Cortex C H&E b67 renal corpuscle 2x he labeled.jpgB67, Kidney, 2.5x  
3 Medullary Ray MR H&E b67 renal corpuscle 2x he labeled.jpgB67, Kidney, 2.5x  
4 Bowman's Capsule (Parietal Layer) BC PAS b68 renal corpuscle 40x pas labeled.jpgB68b, Kidney, 40x  
5 Bowman's Space BS PAS b68 renal corpuscle 40x pas labeled.jpgB68b, Kidney, 40x  
6 Podocyte (visceral layer of Bowman's capsule) Pod PAS b68 renal corpuscle 40x pas labeled.jpgB68b, Kidney, 40x  
7 Glomerulus (capillary tuft) G PAS b68 renal corpuscle 40x pas labeled.jpgB68b, Kidney, 40x  
8 Vascular Pole VP Carmine b70 renal corpuscle 40x carmine labeled.jpgB70, Kidney, 40x  
9 Urinary Pole UP Carmine b70 renal corpuscle 40x carmine labeled.jpgB70, Kidney, 40x  

Back to Top of Page

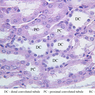
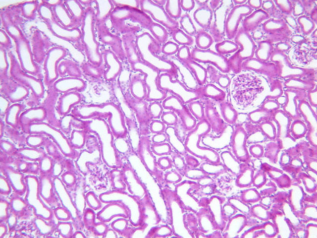
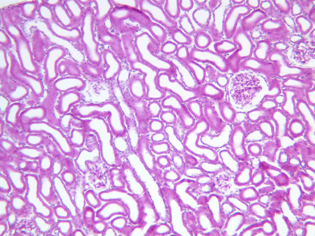
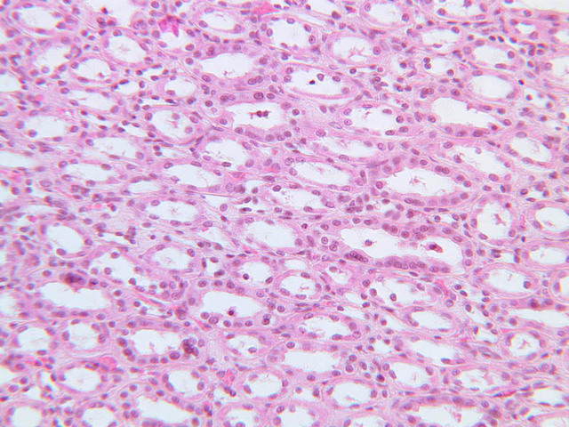
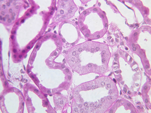
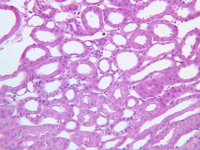
Proximal Convoluted Tubule (PCT)

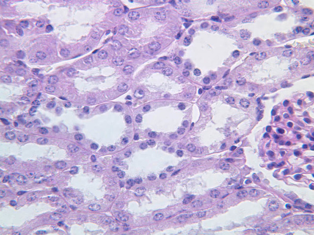
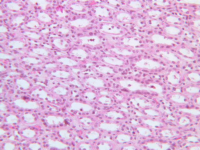
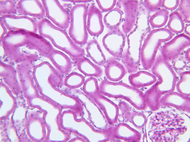
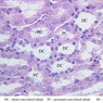
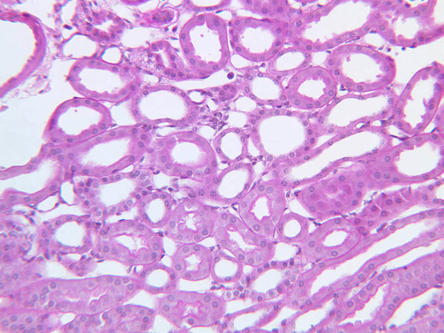
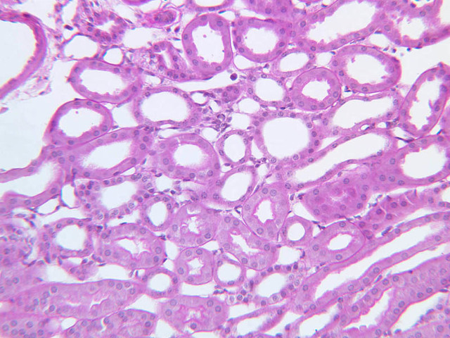
The filtrate formed in Bowman's space flows towards the urinary pole to enter the proximal tubule. The proximal tubule consists of an initial convoluted portion (the proximal convoluted tubule) and a distal straight portion (the pars recta). In cross section, the tubular epithelial cells are simple cuboidal cells, with a prominent brush border (microvilli) and basal striations (elongated mitochondria). The PCTs often have star-shaped lumens, which are generally larger in diameter than the distal tubules (see below). Cells of the PCT are generally more eosinophilic than cells of other tubules in the kidney, and stain particularly well with PAS (B-66, PAS [10x, 20x, 40x]; B-67, H&E [10x, 20x, 40x-labeled]; B-68, PAS [10x, 20x, 40x-labeled]; B-71, H&E [10x, 20x, 40x-labeled]). Try to identify PCTs. Also, examine regions near glomeruli in order to identify urinary poles in longitudinal section that are continuous with a PCT.

B66, PCT, 10x (PAS) B66, PCT, 20x (PAS) B66, PCT, 40x (PAS) B67, PCT, 10x (H&E) B67, PCT, 20x (H&E) B67, PCT, 40x Labeled (H&E) B68, PCT, 10x (PAS) B68, PCT, 20x (PAS) B68, PCT, 40x Labeled (PAS) B71, PCT, 10x (H&E) B71, PCT, 20x (H&E) B71, PCT, 40x Labeled (H&E)

Proximal Convoluted Tubule Identifications

Row Structure Abbreviation Optimal Stain Representative Section Note
1 Proximal Convoluted Tubule PC PAS b68 proximal convoluted tubule kidney 40x pas labeled.jpgB68, Kidney, 40x  
2 Distal Convoluted Tubule DC PAS b68 proximal convoluted tubule kidney 40x pas labeled.jpgB68, Kidney, 40x  
3 Brush Border BB PAS b68 proximal convoluted tubule kidney 40x pas labeled.jpgB68, Kidney, 40x  

Back to Top of Page

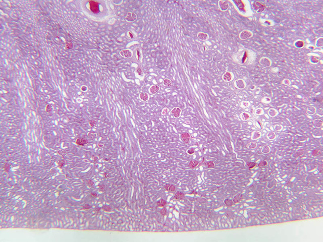
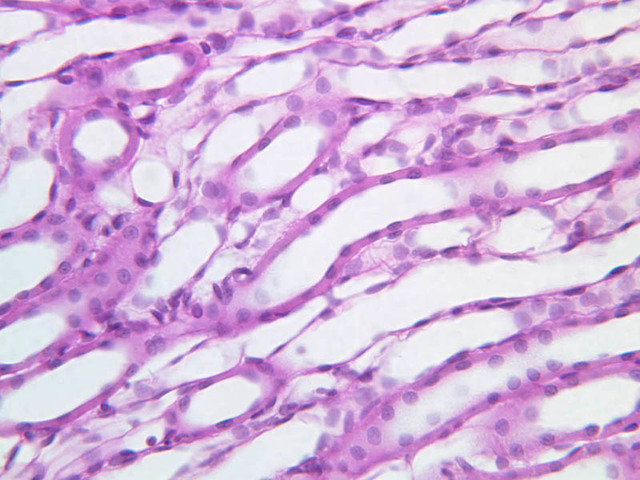
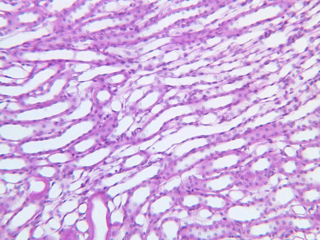
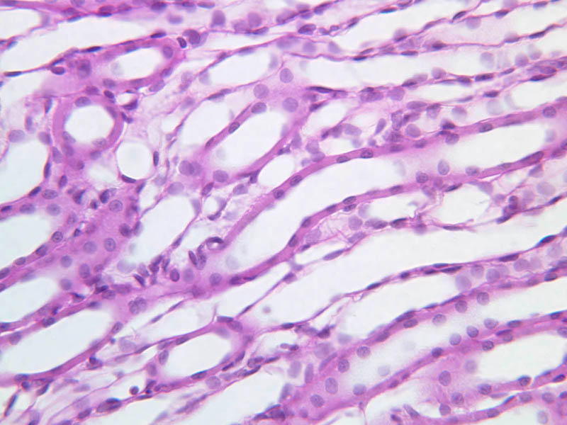
Thin Tubules

The straight portion of the proximal tubule (pars recta) enters a medullary ray and descends toward the medulla. Both parts of the proximal tubule are lined by cuboidal epithelial cells. The next tubular segment that the filtrate passes through is the thin tubule or thin loop of Henle which is mainly located in the medulla. Here the diameter of the tubule narrows markedly and the epithelium becomes simple squamous. The thin segment descends toward the apex of the pyramid. Before reaching the apex of the pyramid, however, it makes a hairpin turn and returns toward the cortex. Don’t confuse the thin segments of the tubules with the capillaries they associate with. Tubular epithelial cells are somewhat thicker, tubular diameter is somewhat greater, and the tubules do not contain RBCs. The next tubular segment is the distal thick tubule. The distal thick segment ascends through the medullary ray as the straight ascending segment. The straight ascending segment exits the medullary ray and returns to its corpuscle of origin.

Try to identify each of these tubules by studying sections of the cortex and the medulla. Note the frequent appearance of arcuate artery and vein profiles along the boundary between the cortex and the medulla (B-67, H&E [2.5x-labeled, 10x, 20x, 40x-labeled]).

B67, Thin Tubules, 2.5x Labeled (H&E) B67, Thin Tubules, 10x (H&E) B67, Thin Tubules, 20x (H&E) B67, Thin Tubules, 40x Labeled (H&E)

Thin Tubules Identifications

Row Structure Abbreviation Optimal Stain Representative Section Note
1 Arcuate Artery AA H&E b67 arcuate artery kidney 2x labeled.jpgB67b, Kidney, 2.5x  
2 Arcuate Vein AV H&E b67 arcuate artery kidney 2x labeled.jpgB67b, Kidney, 2.5x  
3 Collecting Tubules of Renal Medulla CT H&E b67 renal medulla 40x labeled.jpgB67, Kidney, 40x  
4 Thin Limb (of Loop of Henle) TL H&E b67 renal medulla 40x labeled.jpgB67, Kidney, 40x  
5 Thick Ascending (distal) Tubule TA H&E b67 renal medulla 40x labeled.jpgB67, Kidney, 40x  

Back to Top of Page

Distal Convoluted Tubule (DCT)

The distal tubule becomes convoluted and eventually empties into a collecting tubule. The cells of the distal convoluted tubule are cuboidal. In contrast to cells of the PCT, cells of the DCT are smaller, have less cytoplasm and hence appear more basophilic, and they have no brush border (B-67, H&E [10x, 20x, 40x-labeled]; B-68, PAS [10x, 20x, 40x-labeled]; B-69, PAS [10x, 20x, 40x-labeled]; B-71, H&E [10x, 20x, 40x-labeled]). Also, DCTs are smaller than proximal tubules. Look for DCTs in slides B-67 through B-71. Since the DCTs lack a brush border, they will be more readily distinguished from PCTs in sections stained with PAS.

B67, DCT, 10x (H&E) B67, DCT, 20x (H&E) B67, DCT, 40x Labeled (H&E) B68, DCT, 10x (PAS) B68, DCT, 20x (PAS) B68, DCT, 40x Labeled (PAS) B69, DCT, 10x (PAS) B69, DCT, 20x (PAS) B69, DCT, 40x Labeled (PAS) B71, DCT, 10x (H&E) B71, DCT, 20x (H&E) B71, DCT, 40x Labeled (H&E)

Distal Convoluted Tubule Identifications

Row Structure Abbreviation Optimal Stain Representative Section Note
1 Proximal Convoluted Tubule PC PAS b68 proximal convoluted tubule kidney 40x pas labeled.jpgB68, Kidney, 40x  
2 Distal Convoluted Tubule DC PAS b68 proximal convoluted tubule kidney 40x pas labeled.jpgB68, Kidney, 40x  
3 Brush Border BB PAS b68 proximal convoluted tubule kidney 40x pas labeled.jpgB68, Kidney, 40x  

Back to Top of Page

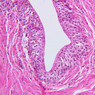
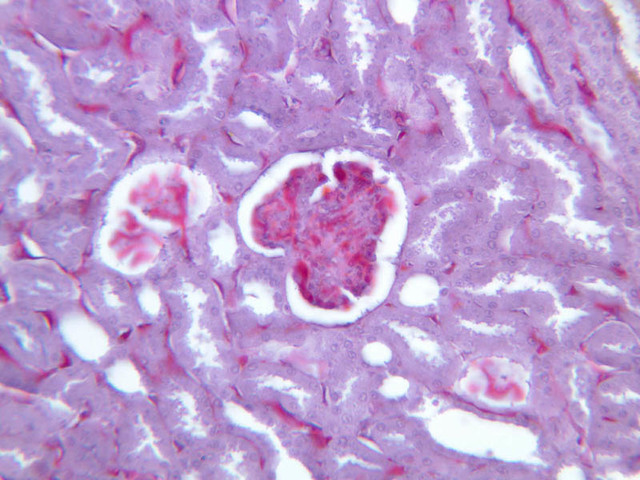
Juxtaglomerular Apparatus

As the straight ascending segment of the distal tubule approaches its corpuscle of origin, it passes between the afferent and efferent arterioles and contributes to the juxtaglomerular apparatus (JGA). Locate a corpuscle showing an afferent arteriole entering and an efferent arteriole exiting at the vascular pole. Closely inspect the wall of the afferent arteriole. At this point, the vessel is closely applied to the wall of the distal convoluted tubule. The smooth muscle cells of the arteriole have spherical nuclei and are known as juxtaglomerular cells (JG cells). JG cells produce renin. Another structure to look for is the macula densa, which occurs where the cells of the DCT contact the afferent arteriole. Here they become taller and thinner forming the macula densa. Together, the macula densa and juxtaglomerular cells make up the juxtaglomerular apparatus (B-67, H&E [2.5x, 10x, 20x, 40x-labeled] [40x-labeled]; B-71, H&E [40x] [40x] [40x]).

B67, JG Apparatus, 2.5x (H&E) B67, JG Apparatus, 10x (H&E) B67, JG Apparatus, 20x (H&E) B67, JG Apparatus, 40x Labeled (H&E) B67, JG Apparatus, 40x Labeled2 (H&E) B71, JG Apparatus, 40xA (H&E) B71, JG Apparatus, 40xB (H&E) B71, JG Apparatus, 40xC (H&E)

Juxtaglomerular Apparatus Identifications

Row Structure Abbreviation Optimal Stain Representative Section Note
1 Macula Densa MD H&E b67 macula densa renal corpuscle 40x he labeled.jpgB67, Kidney, 40x  
2 Juxtaglomerular Cells JG H&E b67 macula densa renal corpuscle 40x he labeled.jpgB67, Kidney, 40x  

Back to Top of Page

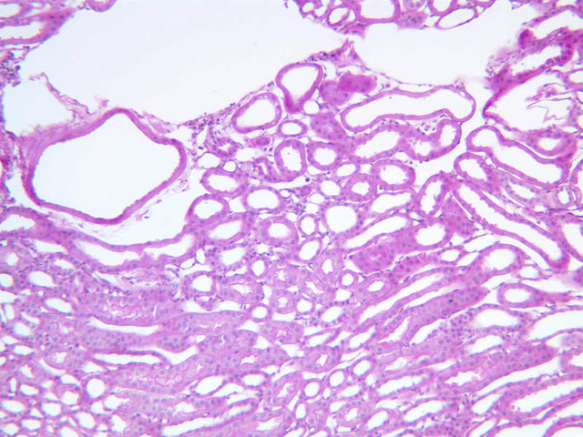
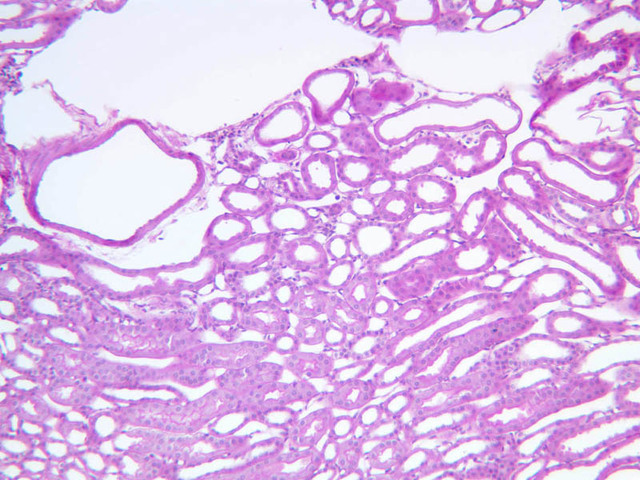
Collecting Tubules

The DCT ends in the collecting duct system which carries the urine through the medulla to the end of the papilla. Collecting tubules are regularly shaped in cross section as compared with the often irregularly shaped sections of the nephron. The lining epithelium of the collecting system gradually increases in height from a simple cuboidal epithelium in the arched tubules to a tall columnar epithelium in the papillary ducts. Look carefully at the epithelium lining the renal calyx at the apex of the medullary pyramid and identify collecting ducts. Collecting ducts have large, more regular, diameters, and are comprised of uniform, lightly stained columnar epithelial cells (B-67, H&E [2.5x-labeled, 10x, 20x-labeled, 40x]; B-71, H&E [2.5x, 10x, 20x, 40x].

Basement membranes are unusually important structures for the functioning of the kidney. Since a principal constituent of the basement membrane is polysaccharide, this structure stains well with the PAS stain. Study a PAS-stained section of kidney (B-66, B-68, B-69) and carefully note where the prominent basement membranes are found. The stain also shows the brush border of the proximal convoluted tubules and may selectively demonstrate granules in the juxtaglomerular cells of afferent arterioles (B-66 [20x, 40x]).

Error: no images found

Collecting Tubules Identifications

Row Structure Abbreviation Optimal Stain Representative Section Note
1 Collecting Tubules of Renal Medulla CT H&E b67 renal medulla 40x labeled.jpgB67, Kidney, 40x  
2 Thin Limb (of Loop of Henle) TL H&E b67 renal medulla 40x labeled.jpgB67, Kidney, 40x  
3 Thick Ascending (distal) Tubule TA H&E b67 renal medulla 40x labeled.jpgB67, Kidney, 40x  

Back to Top of Page

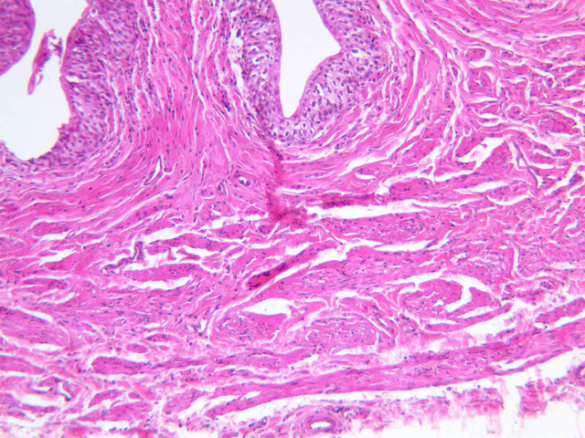
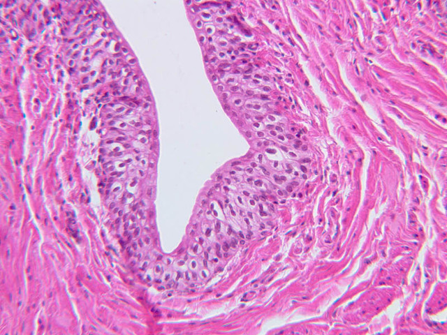
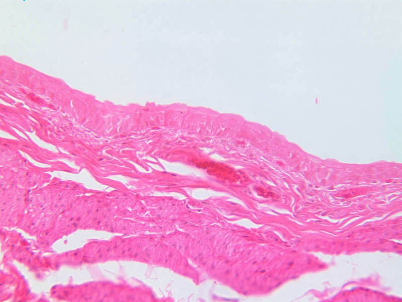
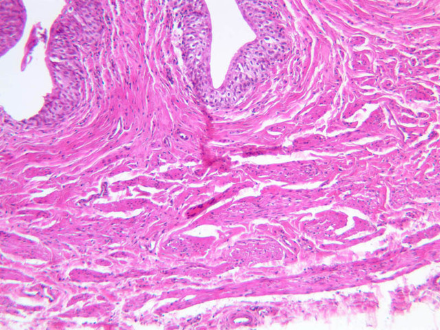
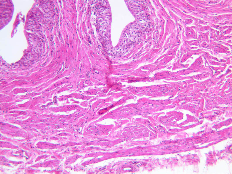
Ureter

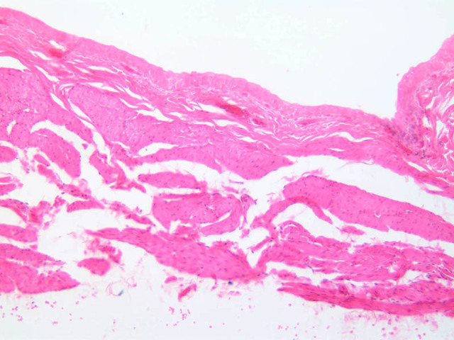
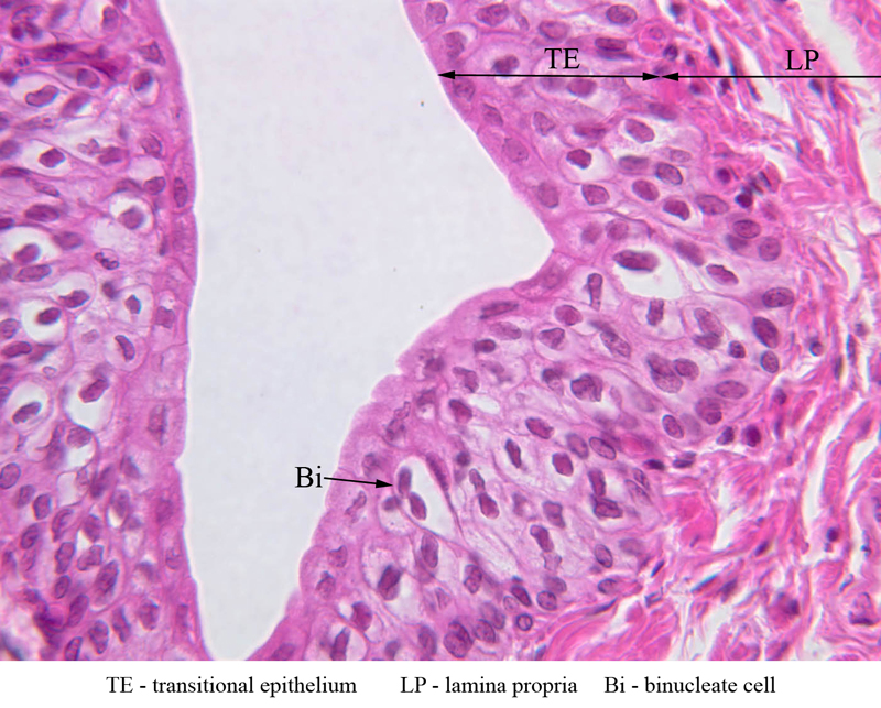
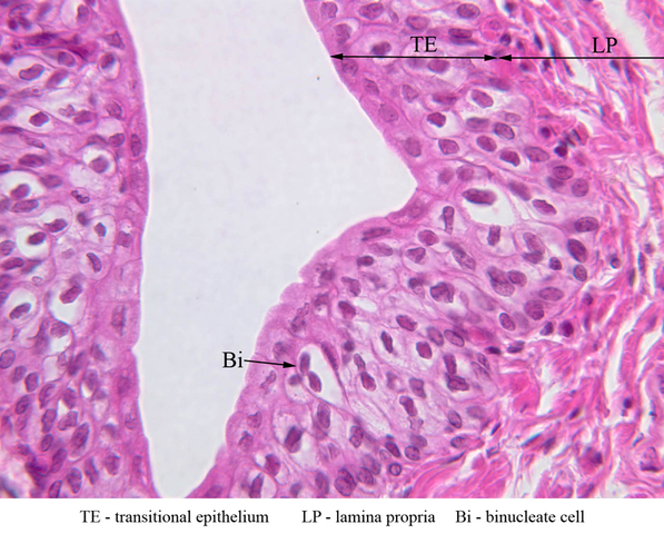
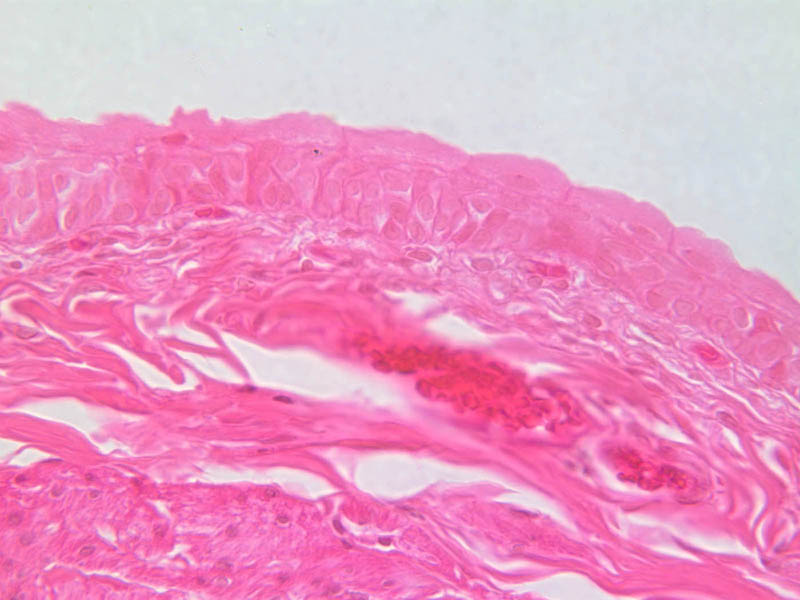
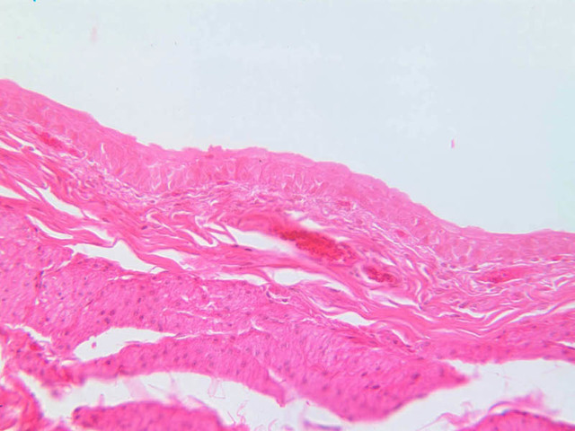
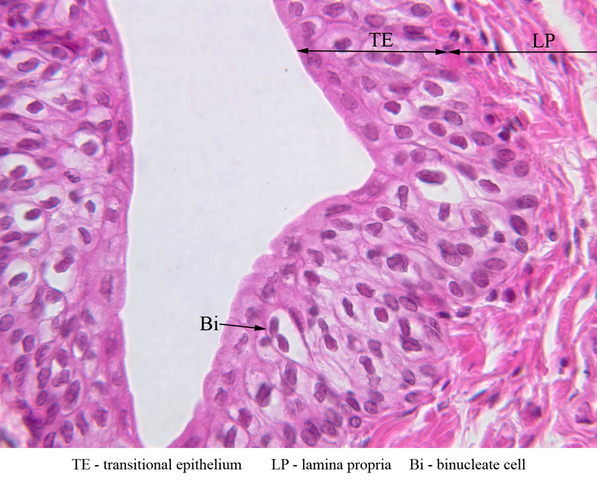
On slide B-72 (ureter, human, H&E [2.5x, 10x, 20x, 40x-labeled]), identify the mucosa (comprised of transitional epithelial cells), the lamina propria (which lacks a muscularis mucosa), and the muscularis. As these sections were obtained from the upper 2/3 of the ureter, there are only two layers to the muscularis. The inner smooth muscle layer is oriented longitudinally, and outer layer is circular smooth muscle. External to the muscularis is the tunica adventitia.

B72, Ureter, 2.5x (H&E) B72, Ureter, 10x (H&E) B72, Ureter, 20x (H&E) B72, Ureter, 40x Labeled (H&E)

Ureter Identifications

Row Structure Abbreviation Optimal Stain Representative Section Note
1 Transitional Epithelium TE H&E b72 ureter 40x he labeled.jpgB72, Ureter, 40x  
2 Lamina Propria LP H&E b72 ureter 40x he labeled.jpgB72, Ureter, 40x  
3 Binucleate Cell Bi H&E b72 ureter 40x he labeled.jpgB72, Ureter, 40x  

Back to Top of Page

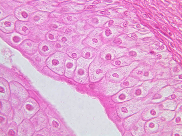
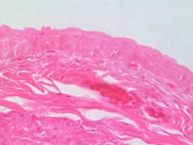
Urinary bladder

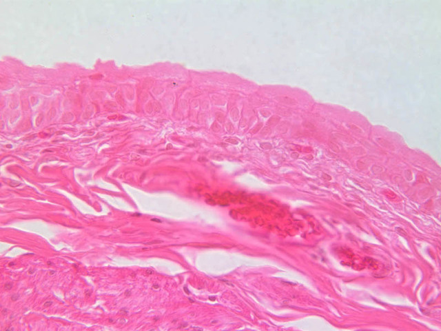
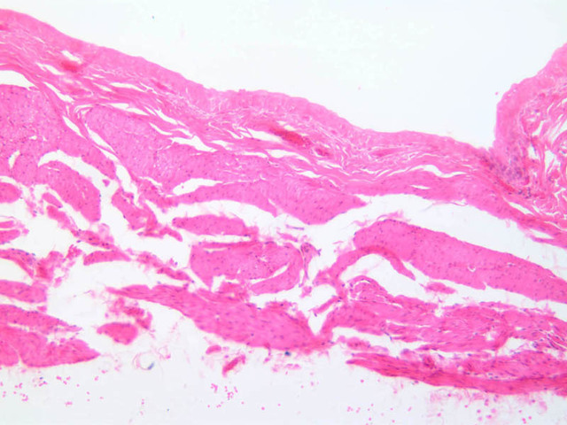
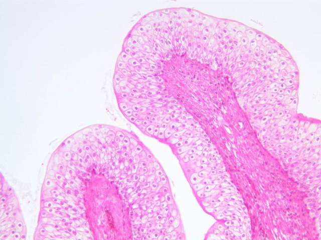
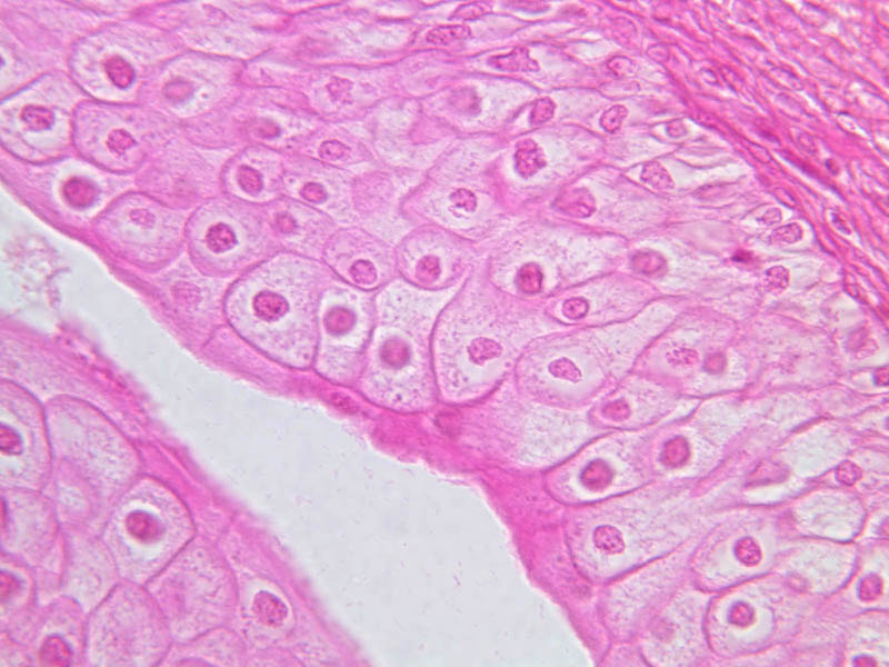
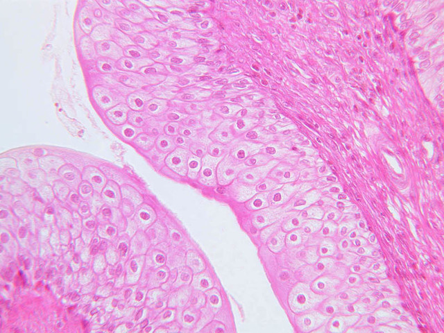
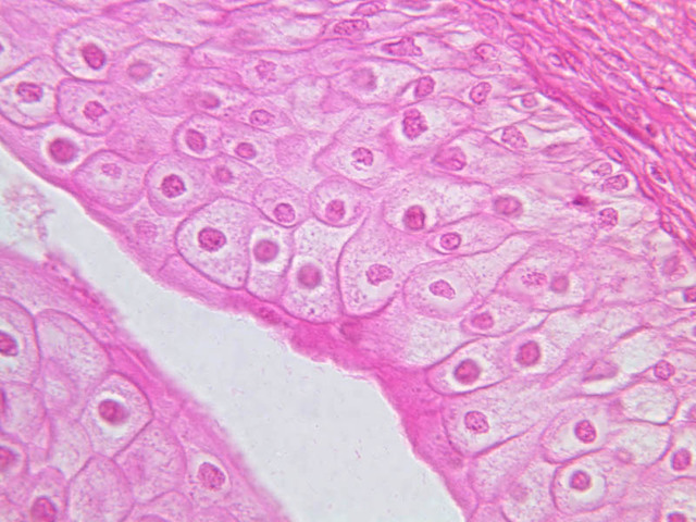
On slide B-75 (cat urinary bladder, contracted, H&E [2.5x-labeled, 10x, 20x, 40x]) identify the transitional epithelium. Notice that a transitional epithelium is usually thinner than a stratified squamous epithelium. The transitional epithelium of the urinary system is usually comprised of 6-8 cell layers in the contracted state with many of the cells on the luminal surface being dome-shaped. Identify the lamina propria and observe that like the ureter, there is very little (if any) muscularis mucosa. In the bladder, as in the lower 1/3 of the ureter, the muscularis externa consists of 3 layers of smooth muscle: an inner longitudinal layer, a middle circular layer, and an outer longitudinal layer. External to the muscularis, the tunica adventitia contains fat, blood vessels, and nerves of various sizes.

Compare the thickness of the contracted bladder with a section of distended bladder (B-76, H&E [2.5x, 10x, 20x, 40x]). The transitional epithelium appears almost squamous due to distension. The epithelium is only 3-5 cell layers thick. The muscular layer also is thin. Transitional epithelial cells must be able to endure a highly concentrated urine to survive. To protect them they have membrane plaques that are thick and rigid. When the bladder is empty they fold into the cell, and return to the cell surface when the bladder is stretched. These structures render the epithelium impermeable to urine, and prevent water from diffusing in. This adaptive feature can be seen in the electron micrographs of transitional epithelium.

B75, Bladder (contracted), 2.5x Labeled (H&E) B75, Bladder (contracted), 10x (H&E) B75, Bladder (contracted), 20x (H&E) B75, Bladder (contracted), 40x (H&E) B76, Bladder (distended), 2.5x (H&E) B76, Bladder (distended), 10x (H&E) B76, Bladder (distended), 20x (H&E) B76, Bladder (distended), 40x (H&E)

Urinary Bladder Identifications

Row Structure Abbreviation Optimal Stain Representative Section Note
1 Transitional Epithelium TE H&E b75 bladder contracted 2x labeled.jpgB75, Urinary Bladder, 2.5x  
2 Lamina Propria LP H&E b75 bladder contracted 2x labeled.jpgB75, Urinary Bladder, 2.5x  
3 Inner Longitudinal Muscularis IL H&E b75 bladder contracted 2x labeled.jpgB75, Urinary Bladder, 2.5x  
4 Middle Circular Muscularis MC H&E b75 bladder contracted 2x labeled.jpgB75, Urinary Bladder, 2.5x  
5 Outer Longitudinal Muscularis OL H&E b75 bladder contracted 2x labeled.jpgB75, Urinary Bladder, 2.5x  

Back to Top of Page

Review of The Urinary System

Review of Slides

Extracted from AllUrinarySystem.zip Extracted from AllUrinarySystem.zip Extracted from AllUrinarySystem.zip Extracted from AllUrinarySystem.zip Extracted from AllUrinarySystem.zip Extracted from AllUrinarySystem.zip Extracted from AllUrinarySystem.zip Extracted from AllUrinarySystem.zip Extracted from AllUrinarySystem.zip Extracted from AllUrinarySystem.zip Extracted from AllUrinarySystem.zip Extracted from AllUrinarySystem.zip Extracted from AllUrinarySystem.zip Extracted from AllUrinarySystem.zip Extracted from AllUrinarySystem.zip Extracted from AllUrinarySystem.zip Extracted from AllUrinarySystem.zip Extracted from AllUrinarySystem.zip Extracted from AllUrinarySystem.zip Extracted from AllUrinarySystem.zip Extracted from AllUrinarySystem.zip Extracted from AllUrinarySystem.zip Extracted from AllUrinarySystem.zip Extracted from AllUrinarySystem.zip Extracted from AllUrinarySystem.zip Extracted from AllUrinarySystem.zip Extracted from AllUrinarySystem.zip Extracted from AllUrinarySystem.zip Extracted from AllUrinarySystem.zip Extracted from AllUrinarySystem.zip Extracted from AllUrinarySystem.zip Extracted from AllUrinarySystem.zip Extracted from AllUrinarySystem.zip Extracted from AllUrinarySystem.zip Extracted from AllUrinarySystem.zip Extracted from AllUrinarySystem.zip Extracted from AllUrinarySystem.zip Extracted from AllUrinarySystem.zip Extracted from AllUrinarySystem.zip Extracted from AllUrinarySystem.zip Extracted from AllUrinarySystem.zip Extracted from AllUrinarySystem.zip Extracted from AllUrinarySystem.zip Extracted from AllUrinarySystem.zip Extracted from AllUrinarySystem.zip Extracted from AllUrinarySystem.zip Extracted from AllUrinarySystem.zip Extracted from AllUrinarySystem.zip Extracted from AllUrinarySystem.zip Extracted from AllUrinarySystem.zip Extracted from AllUrinarySystem.zip Extracted from AllUrinarySystem.zip Extracted from AllUrinarySystem.zip Extracted from AllUrinarySystem.zip Extracted from AllUrinarySystem.zip Extracted from AllUrinarySystem.zip Extracted from AllUrinarySystem.zip Extracted from AllUrinarySystem.zip Extracted from AllUrinarySystem.zip Extracted from AllUrinarySystem.zip Extracted from AllUrinarySystem.zip Extracted from AllUrinarySystem.zip Extracted from AllUrinarySystem.zip Extracted from AllUrinarySystem.zip Extracted from AllUrinarySystem.zip Extracted from AllUrinarySystem.zip Extracted from AllUrinarySystem.zip Extracted from AllUrinarySystem.zip Extracted from AllUrinarySystem.zip Extracted from AllUrinarySystem.zip Extracted from AllUrinarySystem.zip Extracted from Kidney.zip Extracted from Kidney.zip Extracted from Kidney.zip

Summary of Identifications

Row Structure Abbreviation Optimal Stain Representative Section Note
1 Renal Corpuscle RC H&E b67 renal corpuscle 2x he labeled.jpgB67, Kidney, 2.5x  
2 Cortex C H&E b67 renal corpuscle 2x he labeled.jpgB67, Kidney, 2.5x  
3 Medullary Ray MR H&E b67 renal corpuscle 2x he labeled.jpgB67, Kidney, 2.5x  
4 Arcuate Artery AA H&E b67 arcuate artery kidney 2x labeled.jpgB67b, Kidney, 2.5x  
5 Arcuate Vein AV H&E b67 arcuate artery kidney 2x labeled.jpgB67b, Kidney, 2.5x  
6 Collecting Tubules of Renal Medulla CT H&E b67 renal medulla 40x labeled.jpgB67, Kidney, 40x  
7 Thin Limb (of Loop of Henle) TL H&E b67 renal medulla 40x labeled.jpgB67, Kidney, 40x  
8 Thick Ascending (distal) Tubule TA H&E b67 renal medulla 40x labeled.jpgB67, Kidney, 40x  
9 Proximal Convoluted Tubule PC PAS b68 proximal convoluted tubule kidney 40x pas labeled.jpgB68, Kidney, 40x  
10 Distal Convoluted Tubule DC PAS b68 proximal convoluted tubule kidney 40x pas labeled.jpgB68, Kidney, 40x  
11 Brush Border BB PAS b68 proximal convoluted tubule kidney 40x pas labeled.jpgB68, Kidney, 40x  
12 Bowman's Capsule (Parietal Layer) BC PAS b68 renal corpuscle 40x pas labeled.jpgB68b, Kidney, 40x  
13 Bowman's Space BS PAS b68 renal corpuscle 40x pas labeled.jpgB68b, Kidney, 40x  
14 Podocyte (visceral layer of Bowman's capsule) Pod PAS b68 renal corpuscle 40x pas labeled.jpgB68b, Kidney, 40x  
15 Glomerulus (capillary tuft) G PAS b68 renal corpuscle 40x pas labeled.jpgB68b, Kidney, 40x  
16 Vascular Pole VP Carmine b70 renal corpuscle 40x carmine labeled.jpgB70, Kidney, 40x  
17 Urinary Pole UP Carmine b70 renal corpuscle 40x carmine labeled.jpgB70, Kidney, 40x  
18 Macula Densa MD H&E b67 macula densa renal corpuscle 40x he labeled.jpgB67, Kidney, 40x  
19 Juxtaglomerular Cells JG H&E b67 macula densa renal corpuscle 40x he labeled.jpgB67, Kidney, 40x  
20 Transitional Epithelium TE H&E b75 bladder contracted 2x labeled.jpgB75, Urinary Bladder, 2.5x  
21 Lamina Propria LP H&E b75 bladder contracted 2x labeled.jpgB75, Urinary Bladder, 2.5x  
22 Inner Longitudinal Muscularis IL H&E b75 bladder contracted 2x labeled.jpgB75, Urinary Bladder, 2.5x  
23 Middle Circular Muscularis MC H&E b75 bladder contracted 2x labeled.jpgB75, Urinary Bladder, 2.5x  
24 Outer Longitudinal Muscularis OL H&E b75 bladder contracted 2x labeled.jpgB75, Urinary Bladder, 2.5x  
25 Binucleate Cell Bi H&E b72 ureter 40x he labeled.jpgB72, Ureter, 40x  

Back to Top of Page

Comments

 

Back to Top of Page

-- AshleyLPistorio - 02 June 2007
Topic revision: r2 - 20 Jun 2015, LorenEvey
 
This site is powered by FoswikiCopyright © by the contributing authors. All material on this collaboration platform is the property of the contributing authors.
Ideas, requests, problems regarding Medical Histology? Send feedback