Ureter Image Repository


Comments

 
Begin Topic

-- AshleyLPistorio - 18 May 2007
Topic attachments
I Attachment Action Size Date Who Comment
b72_ureter_10x_he.jpgjpg b72_ureter_10x_he.jpg manage 174 K 18 May 2007 - 15:28 AshleyLPistorio 2 - B72, Ureter, 10x (H&E)
b72_ureter_20x_he.jpgjpg b72_ureter_20x_he.jpg manage 154 K 18 May 2007 - 15:28 AshleyLPistorio 3 - B72, Ureter, 20x (H&E)
b72_ureter_2x_he.jpgjpg b72_ureter_2x_he.jpg manage 100 K 18 May 2007 - 15:28 AshleyLPistorio 1 - B72, Ureter, 2.5x (H&E)
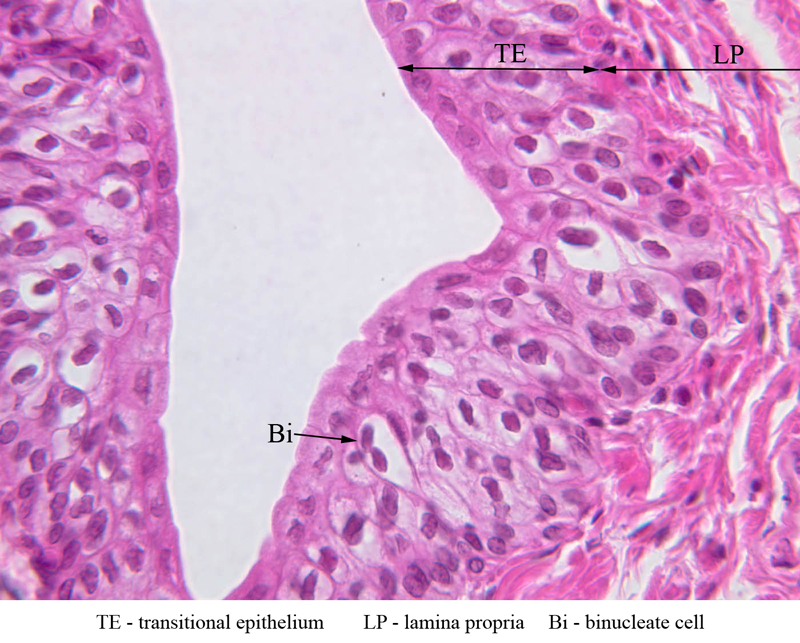
b72_ureter_40x_he_labeled.jpgjpg b72_ureter_40x_he_labeled.jpg manage 466 K 18 May 2007 - 15:28 AshleyLPistorio 4 - B72, Ureter, 40x Labeled (H&E)
Topic revision: r1 - 11 Jul 2007, UnknownUser
 
This site is powered by FoswikiCopyright © by the contributing authors. All material on this collaboration platform is the property of the contributing authors.
Ideas, requests, problems regarding Medical Histology? Send feedback