You are here:
Medical Histology
>
Main Web
>
AtlasContents
>
EpitheliumAtlas01
>
ChapterOneSlides
>
TransitionalImages
(06 Jun 2007,
UnknownUser
)
Edit
Attach
Transitional Image Repository
Begin Topic
Comments
Top of page
--
AshleyLPistorio
- 31 May 2007
Attachments
8
Attachments
8
Topic attachments
I
Attachment
Action
Size
Date
Who
Comment
jpg
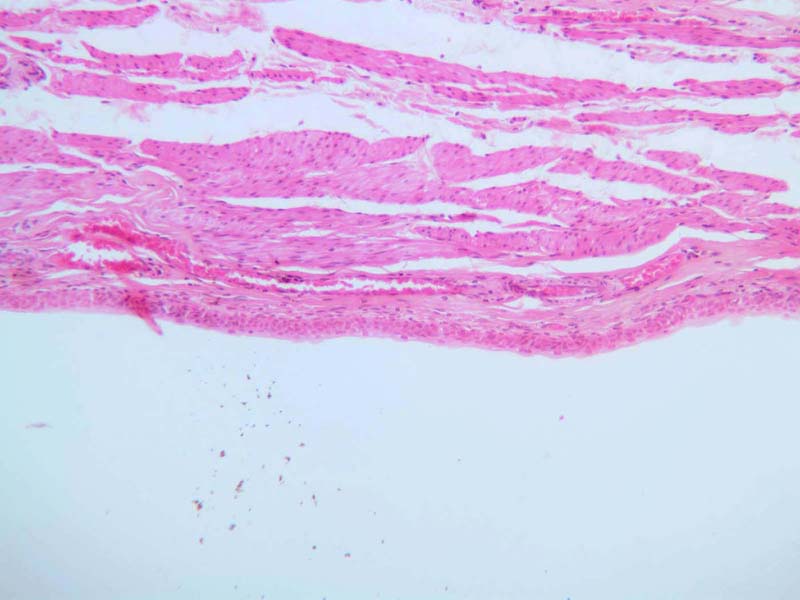
b72_transitional_epithelium_ureter_10x.jpg
manage
106 K
31 May 2007 - 22:21
AshleyLPistorio
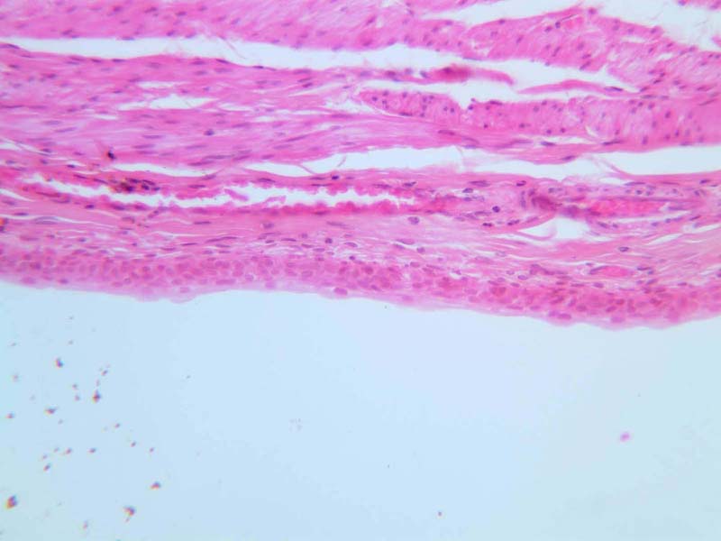
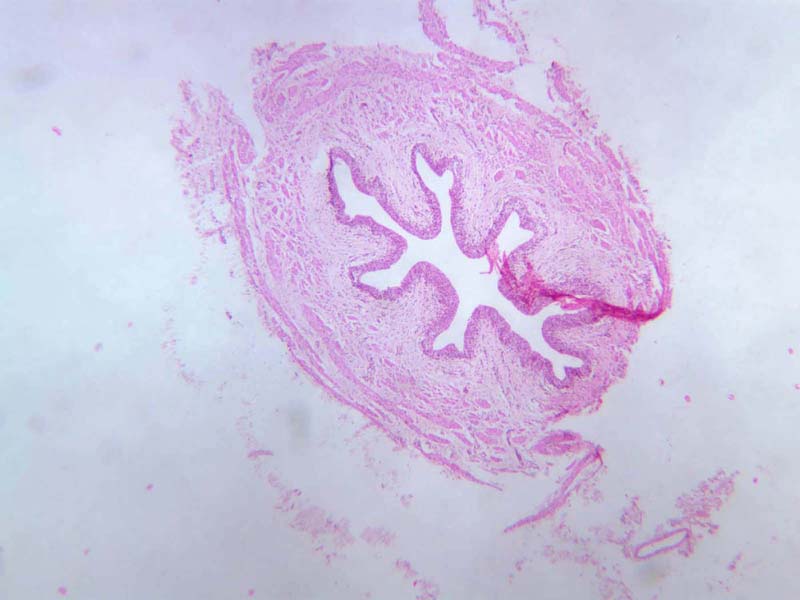
2 - B72, Ureter, 10x (H&E)
jpg
b72_transitional_epithelium_ureter_20x.jpg
manage
72 K
31 May 2007 - 22:21
AshleyLPistorio
3 - B72, Ureter, 20x (H&E)
jpg
b72_transitional_epithelium_ureter_2x.jpg
manage
59 K
31 May 2007 - 22:21
AshleyLPistorio
1 - B72, Ureter, 2.5x (H&E)
jpg
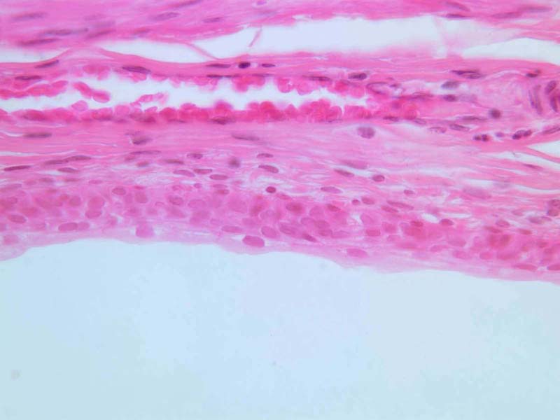
b72_transitional_epithelium_ureter_40x_labeled.jpg
manage
60 K
31 May 2007 - 22:21
AshleyLPistorio
4 - B72, Ureter, 40x Labeled (H&E)
jpg
b76_transitional_epithelium_distended_bladder_10x.jpg
manage
66 K
31 May 2007 - 22:21
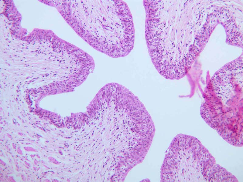
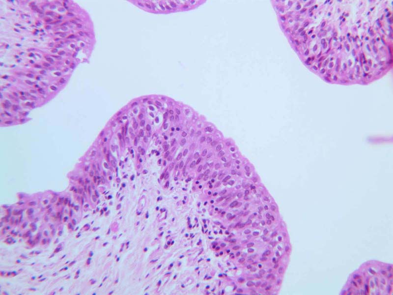
AshleyLPistorio
6 - B76, Bladder, 10x (H&E)
jpg
b76_transitional_epithelium_distended_bladder_20x.jpg
manage
57 K
31 May 2007 - 22:21
AshleyLPistorio
7 - B76, Bladder, 20x (H&E)
jpg
b76_transitional_epithelium_distended_bladder_2x.jpg
manage
44 K
31 May 2007 - 22:21
AshleyLPistorio
5 - B76, Bladder, 2.5x (H&E)
jpg
b76_transitional_epithelium_distended_bladder_40x.jpg
manage
49 K
31 May 2007 - 22:21
AshleyLPistorio
8 - B76, Bladder, 40x (H&E)
E
dit
|
A
ttach
|
P
rint version
|
H
istory
: r1
|
B
acklinks
|
V
iew wiki text
|
M
ore topic actions
Topic revision: r1 - 06 Jun 2007,
UnknownUser
Main
Log In
Histology Atlas:
Table of Contents
Hide
Contents
Introduction
Epithelium
Connective Tissue
Muscle
Nervous Tissue
Cardiovascular System
Skin Appendages and Sensory Receptors
Lymphatic System
Cartilage and Bone
Respiratory System
Peripheral Blood and Bone Marrow
Oral Cavity and Salivary Glands
Esophagus and Gastrointestinal Tract
Pancreas, Liver, and Gall Bladder
Endocrine Organs
Male Reproductive System
Female Reproductive System
Urinary System
Index of Atlas
Appendix
Toolbox
Create New Topic
Index
Search
Changes
Notifications
RSS Feed
Statistics
Preferences
Users
Groups
Webs
Main
Sandbox
System
Copyright © by the contributing authors. All material on this collaboration platform is the property of the contributing authors.
Ideas, requests, problems regarding Medical Histology?
Send feedback