Diffuse Lymphatic Tissue and Lymph Nodule Image Repository

Begin Topic

Comments

 
Top of page

-- AshleyLPistorio - 31 May 2007
Topic attachments
I Attachment Action Size Date Who Comment
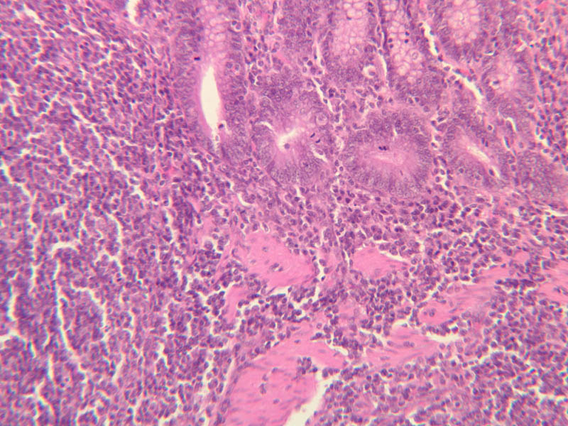
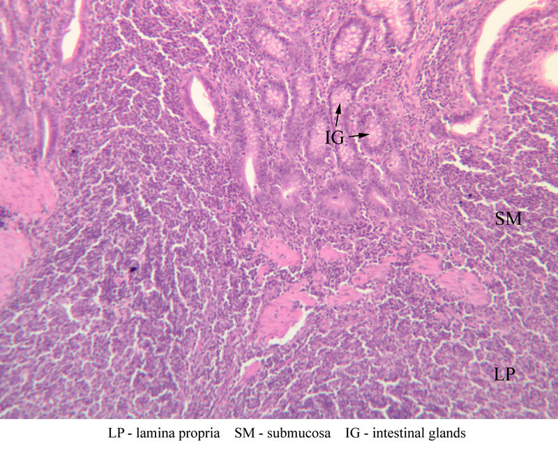
b12_diffuse_lymphatic_tissue_galt_jejunum_10x_labeled.jpgjpg b12_diffuse_lymphatic_tissue_galt_jejunum_10x_labeled.jpg manage 617 K 31 May 2007 - 23:46 AshleyLPistorio 2 - B12, Jejunum, 10x Labeled (H&E)
b12_diffuse_lymphatic_tissue_galt_jejunum_20x.jpgjpg b12_diffuse_lymphatic_tissue_galt_jejunum_20x.jpg manage 150 K 31 May 2007 - 23:46 AshleyLPistorio 3 - B12, Jejunum, 20x (H&E)
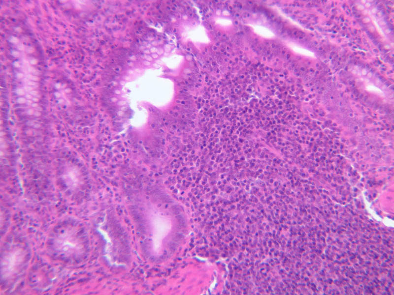
b12_diffuse_lymphatic_tissue_galt_jejunum_2x.jpgjpg b12_diffuse_lymphatic_tissue_galt_jejunum_2x.jpg manage 116 K 31 May 2007 - 23:46 AshleyLPistorio 1 - B12, Jejunum, 2.5x (H&E)
b12_diffuse_lymphatic_tissue_galt_jejunum_40x.jpgjpg b12_diffuse_lymphatic_tissue_galt_jejunum_40x.jpg manage 134 K 31 May 2007 - 23:46 AshleyLPistorio 4 - B12, Jejunum, 40x (H&E)
b16_peyers_patch_ileum_10x.jpgjpg b16_peyers_patch_ileum_10x.jpg manage 139 K 31 May 2007 - 23:46 AshleyLPistorio 6 - B16, Ileum, 10x (H&E)
b16_peyers_patch_ileum_20x.jpgjpg b16_peyers_patch_ileum_20x.jpg manage 128 K 31 May 2007 - 23:46 AshleyLPistorio 7 - B16, Ileum, 20x (H&E)
b16_peyers_patch_ileum_2x_labeled.jpgjpg b16_peyers_patch_ileum_2x_labeled.jpg manage 414 K 31 May 2007 - 23:46 AshleyLPistorio 5 - B16, Ileum, 2.5x Labeled (H&E)
b18_peyers_patch_ileum_10x_labeled.jpgjpg b18_peyers_patch_ileum_10x_labeled.jpg manage 726 K 31 May 2007 - 23:46 AshleyLPistorio 9 - B18, Ileum, 10x Labeled (H&E)
b18_peyers_patch_ileum_20x.jpgjpg b18_peyers_patch_ileum_20x.jpg manage 177 K 31 May 2007 - 23:46 AshleyLPistorio 10 - B18, Ileum, 20x (H&E)
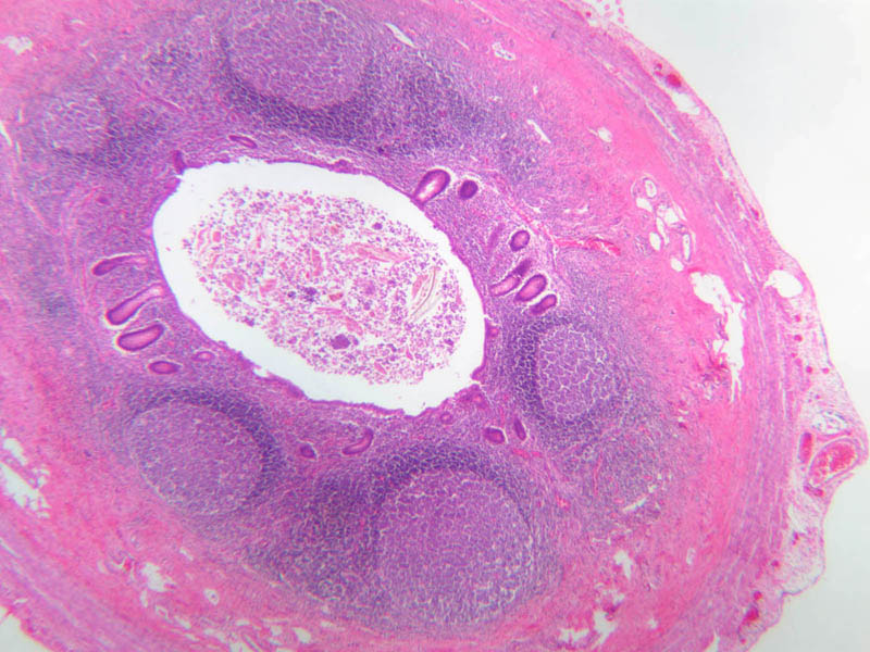
b18_peyers_patch_ileum_2x.jpgjpg b18_peyers_patch_ileum_2x.jpg manage 108 K 31 May 2007 - 23:46 AshleyLPistorio 8 - B18, Ileum, 2.5x (H&E)
b18_peyers_patch_ileum_40x.jpgjpg b18_peyers_patch_ileum_40x.jpg manage 140 K 31 May 2007 - 23:46 AshleyLPistorio 11 - B18, Ileum, 40x (H&E)
b18b_peyers_patch_10x_labeled.jpgjpg b18b_peyers_patch_10x_labeled.jpg manage 666 K 31 May 2007 - 23:46 AshleyLPistorio 17 - B18, Ileum, 10x Labeled (H&E)
b18b_peyers_patch_20x.jpgjpg b18b_peyers_patch_20x.jpg manage 164 K 31 May 2007 - 23:46 AshleyLPistorio 18 - B18, Ileum, 20x (H&E)
b18b_peyers_patch_2x_labeled.jpgjpg b18b_peyers_patch_2x_labeled.jpg manage 542 K 31 May 2007 - 23:46 AshleyLPistorio 16 - B18, Ileum, 2.5x Labeled (H&E)
b18b_peyers_patch_40x.jpgjpg b18b_peyers_patch_40x.jpg manage 129 K 31 May 2007 - 23:46 AshleyLPistorio 19 - B18, Ileum, 40x (H&E)
b18c_peyers_patch_10x.jpgjpg b18c_peyers_patch_10x.jpg manage 153 K 31 May 2007 - 23:46 AshleyLPistorio 21 - B18, Ileum, 10x (H&E)
b18c_peyers_patch_20x.jpgjpg b18c_peyers_patch_20x.jpg manage 147 K 31 May 2007 - 23:46 AshleyLPistorio 22 - B18, Ileum, 20x (H&E)
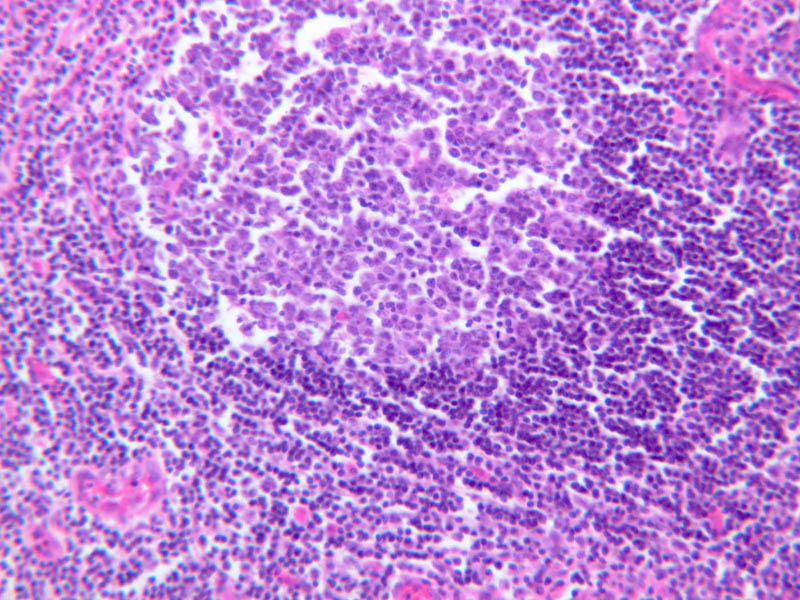
b18c_peyers_patch_2x.jpgjpg b18c_peyers_patch_2x.jpg manage 95 K 31 May 2007 - 23:46 AshleyLPistorio 20 - B18, Ileum, 2.5x (H&E)
b18c_peyers_patch_40x.jpgjpg b18c_peyers_patch_40x.jpg manage 127 K 31 May 2007 - 23:46 AshleyLPistorio 23 - B18, Ileum, 40x (H&E)
b20_appendix_10x.jpgjpg b20_appendix_10x.jpg manage 191 K 31 May 2007 - 23:46 AshleyLPistorio 25 - B20, Appendix, 10x (H&E)
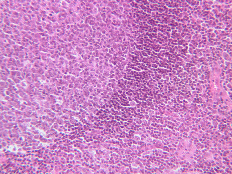
b20_appendix_20x.jpgjpg b20_appendix_20x.jpg manage 161 K 31 May 2007 - 23:46 AshleyLPistorio 26 - B20, Appendix, 20x (H&E)
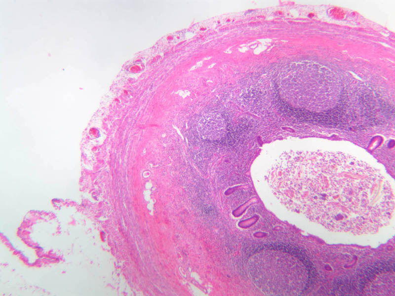
b20_appendix_2x.jpgjpg b20_appendix_2x.jpg manage 134 K 31 May 2007 - 23:46 AshleyLPistorio 24 - B20, Appendix, 2.5x (H&E)
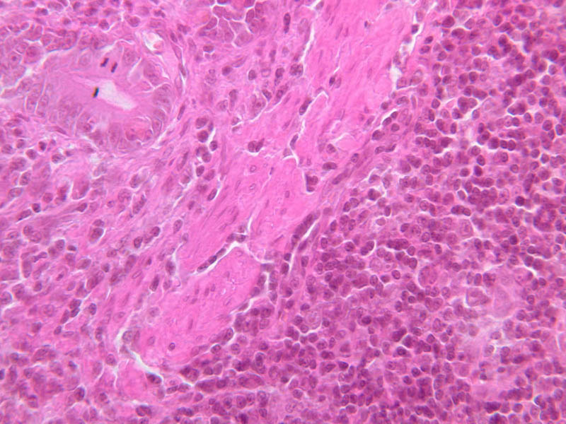
b20_appendix_40x.jpgjpg b20_appendix_40x.jpg manage 111 K 31 May 2007 - 23:46 AshleyLPistorio 27 - B20, Appendix, 40x (H&E)
b20_lymphoid_nodule_appendix_10x_labeled.jpgjpg b20_lymphoid_nodule_appendix_10x_labeled.jpg manage 786 K 31 May 2007 - 23:46 AshleyLPistorio 13 - B20, Appendix, 10x Labeled (H&E)
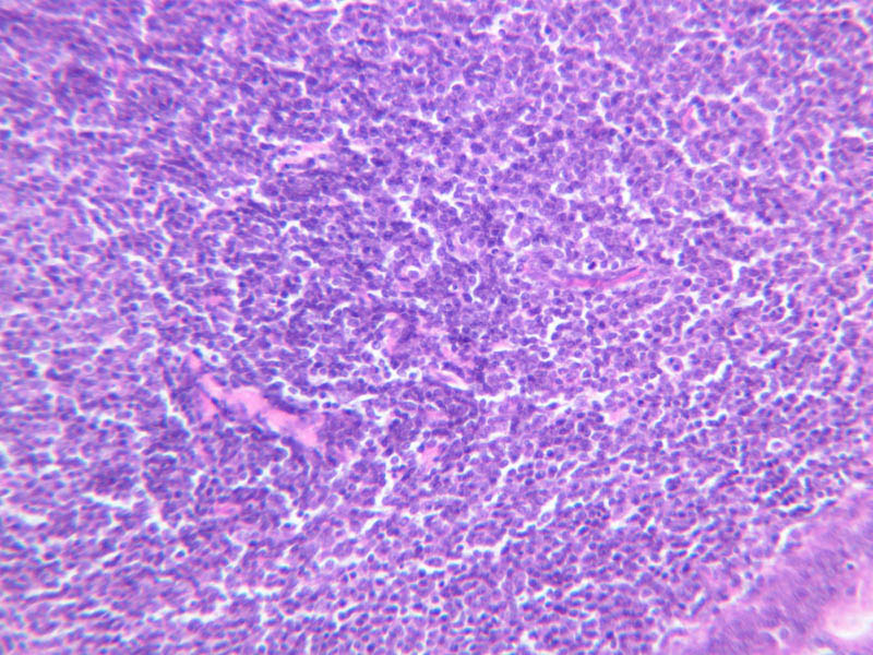
b20_lymphoid_nodule_appendix_20x.jpgjpg b20_lymphoid_nodule_appendix_20x.jpg manage 187 K 31 May 2007 - 23:46 AshleyLPistorio 14 - B20, Appendix, 20x (H&E)
b20_lymphoid_nodule_appendix_2x.jpgjpg b20_lymphoid_nodule_appendix_2x.jpg manage 111 K 31 May 2007 - 23:46 AshleyLPistorio 12 - B20, Appendix, 2.5x (H&E)
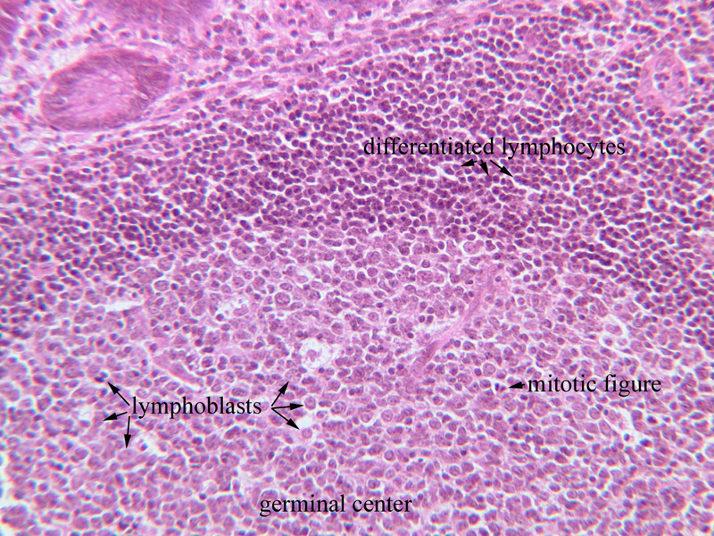
b20_lymphoid_nodule_appendix_40x_labeled.jpgjpg b20_lymphoid_nodule_appendix_40x_labeled.jpg manage 524 K 31 May 2007 - 23:46 AshleyLPistorio 15 - B20, Appendix, 40x Labeled (H&E)
b20b_appendix_10x.jpgjpg b20b_appendix_10x.jpg manage 179 K 31 May 2007 - 23:46 AshleyLPistorio 29 -B20, Appendix, 10x (H&E)
b20b_appendix_20x.jpgjpg b20b_appendix_20x.jpg manage 182 K 31 May 2007 - 23:46 AshleyLPistorio 30 - B20, Appendix, 20x (H&E)
b20b_appendix_2x.jpgjpg b20b_appendix_2x.jpg manage 110 K 31 May 2007 - 23:46 AshleyLPistorio 28 - B20, Appendix, 2.5x (H&E)
b20b_appendix_40x.jpgjpg b20b_appendix_40x.jpg manage 157 K 31 May 2007 - 23:46 AshleyLPistorio 31 - B20, Appendix, 40x (H&E)
b20c_appendix_10x.jpgjpg b20c_appendix_10x.jpg manage 193 K 31 May 2007 - 23:46 AshleyLPistorio 33 - B20, Appendix, 10x (H&E)
b20c_appendix_20x_labeled.jpgjpg b20c_appendix_20x_labeled.jpg manage 736 K 31 May 2007 - 23:46 AshleyLPistorio 34 - B20, Appendix, 20x Labeled (H&E)
b20c_appendix_2x_labeled.jpgjpg b20c_appendix_2x_labeled.jpg manage 495 K 31 May 2007 - 23:46 AshleyLPistorio 32 - B20, Appendix, 2.5x Labeled (H&E)
b20c_appendix_40x.jpgjpg b20c_appendix_40x.jpg manage 165 K 31 May 2007 - 23:46 AshleyLPistorio 35 - B20, Appendix, 40x (H&E)
Topic revision: r1 - 19 Jun 2007, UnknownUser
 
This site is powered by FoswikiCopyright © by the contributing authors. All material on this collaboration platform is the property of the contributing authors.
Ideas, requests, problems regarding Medical Histology? Send feedback